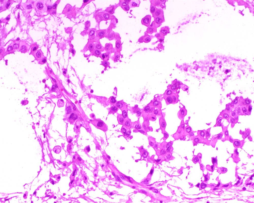
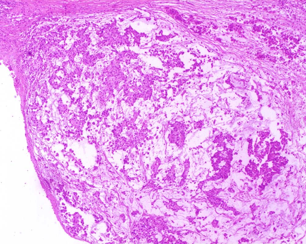
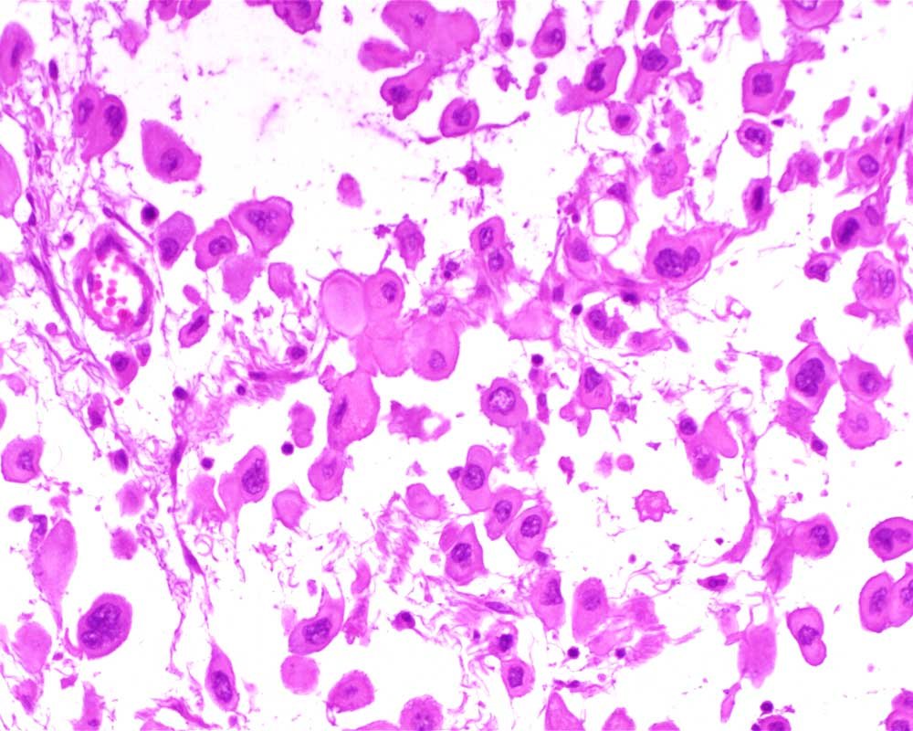
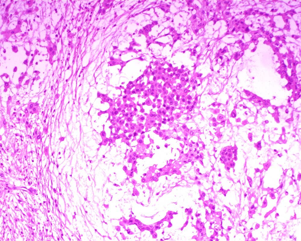
Unknown Case
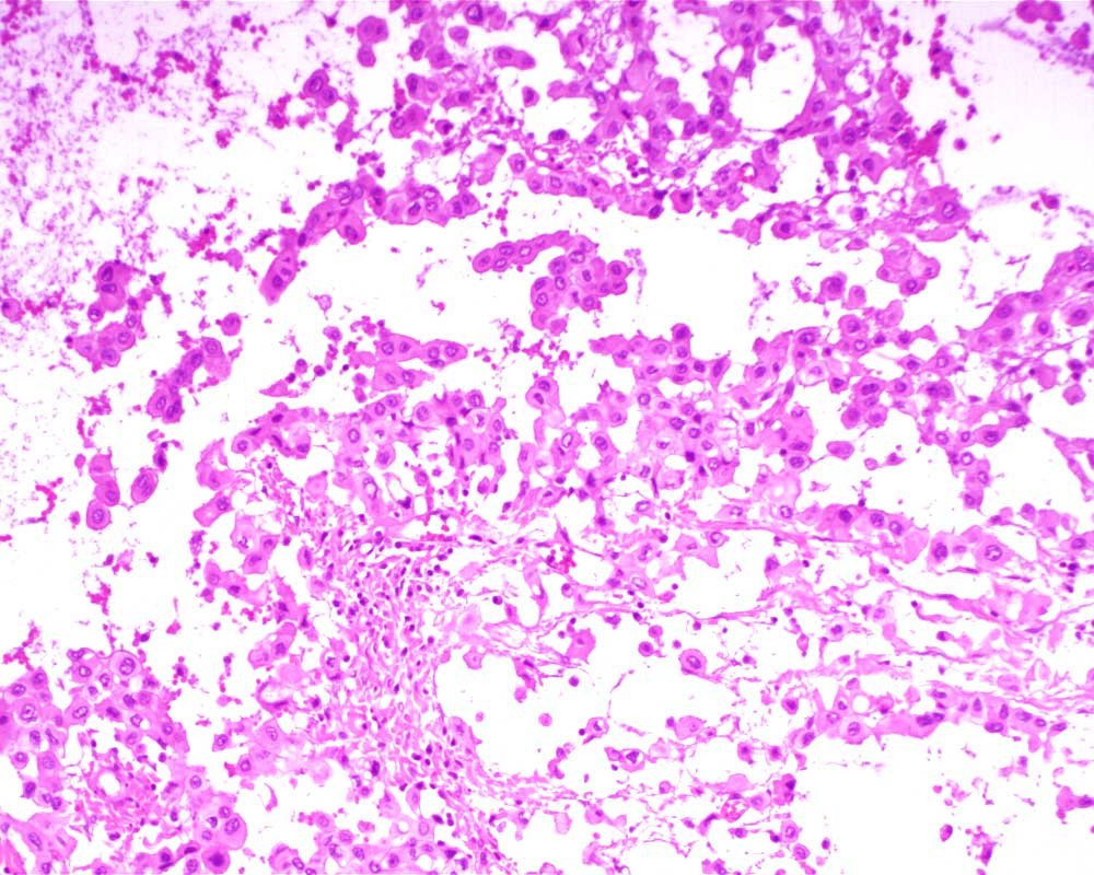
Case: PeritonealLesion
Specials to Order:
Final Diagnosis: