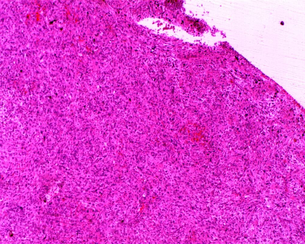
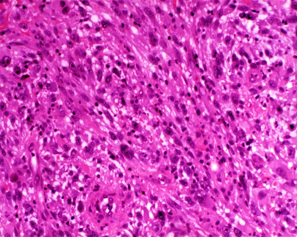
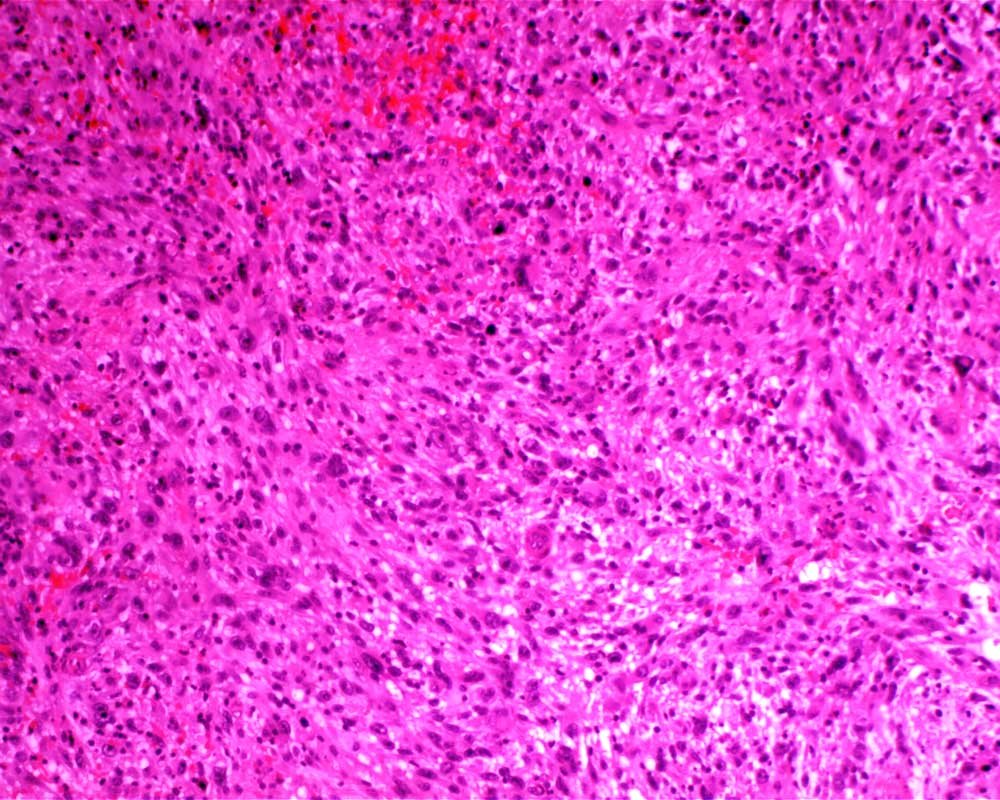
Unknown Case
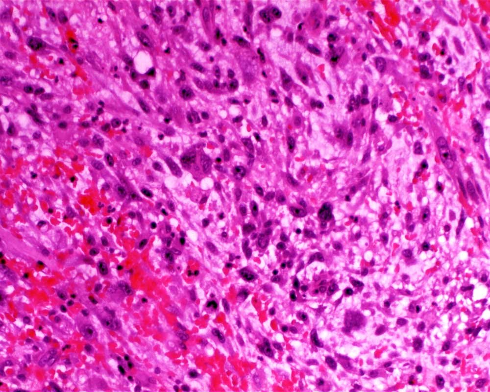
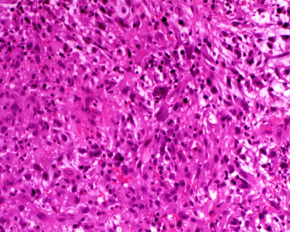
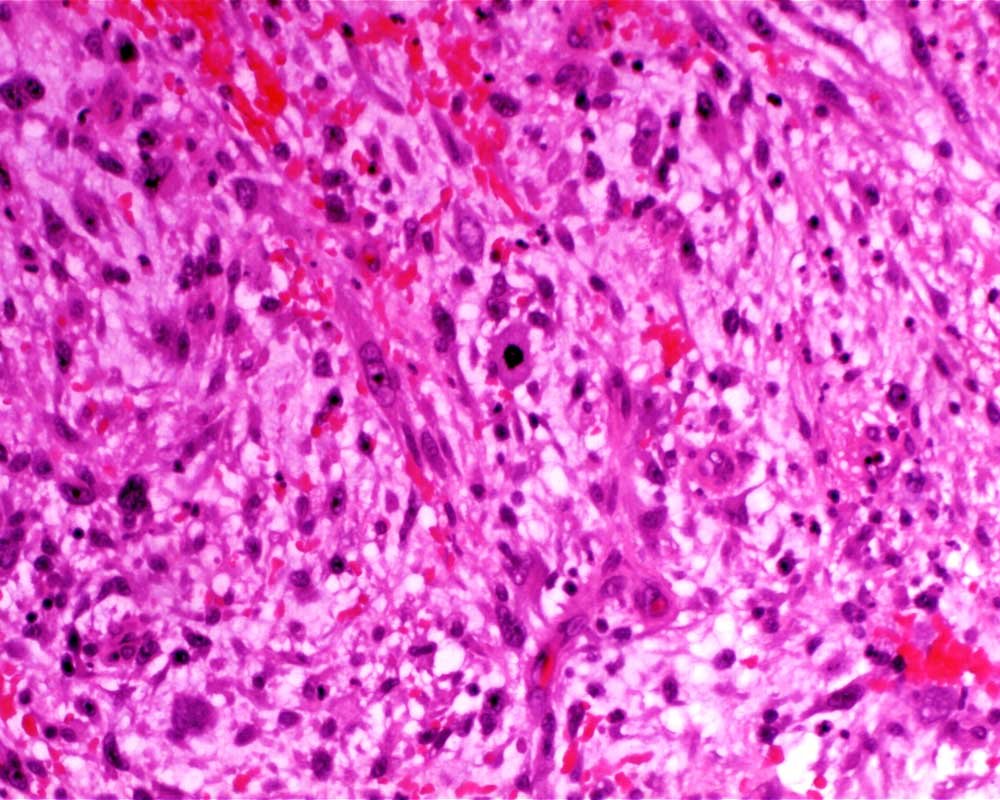
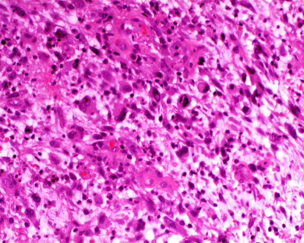
Case: LegMass
Specials to Order:
Final Diagnosis: