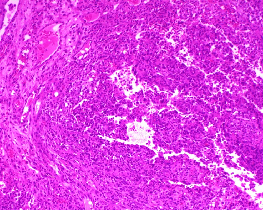
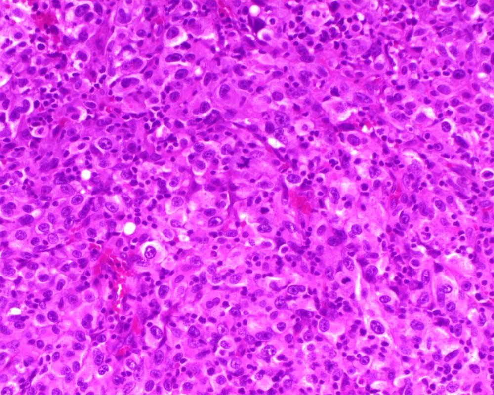
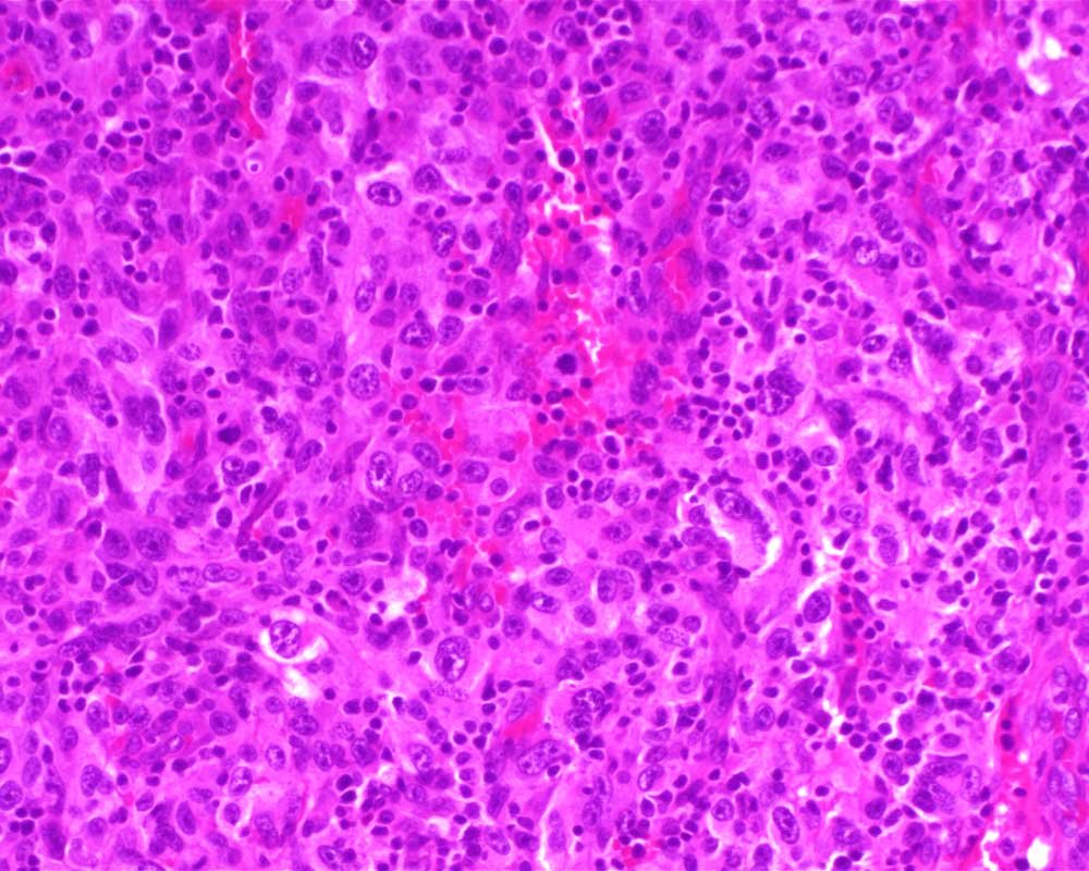
Unknown Case
Case: HeartMass
Specials to Order:
Final Diagnosis: