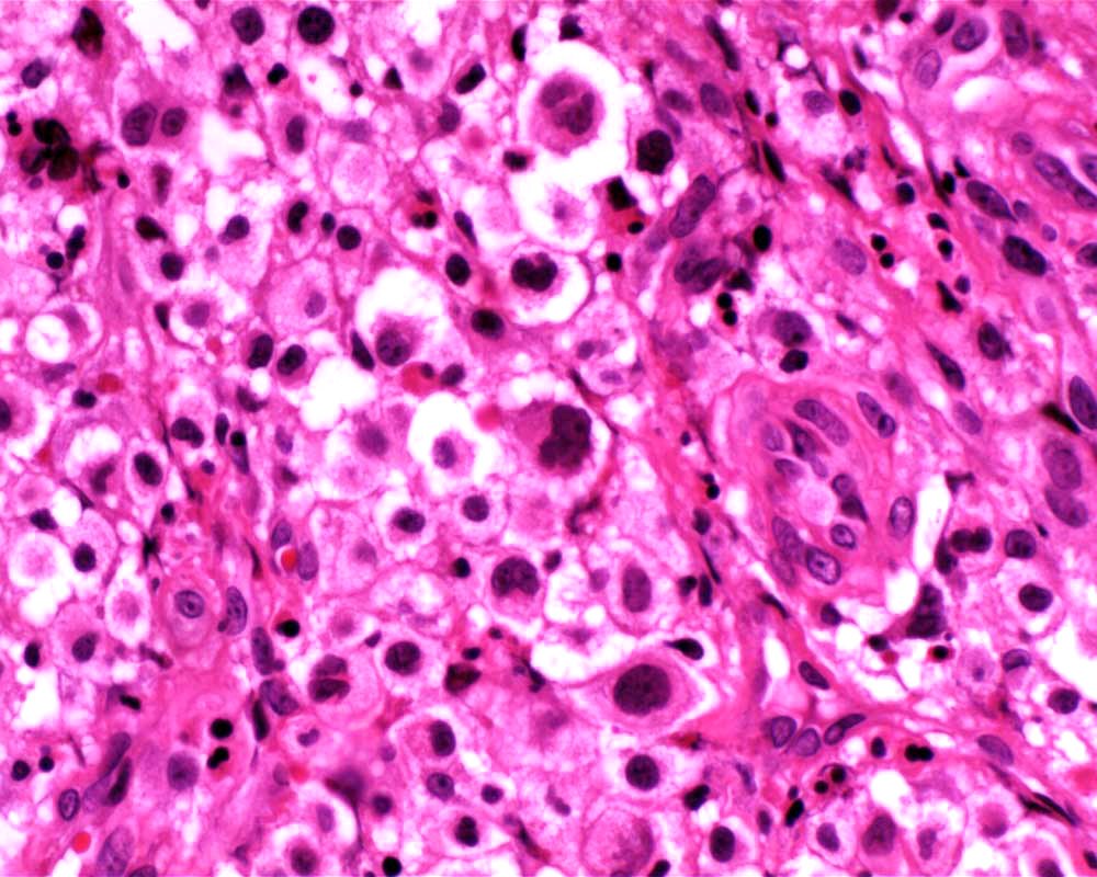
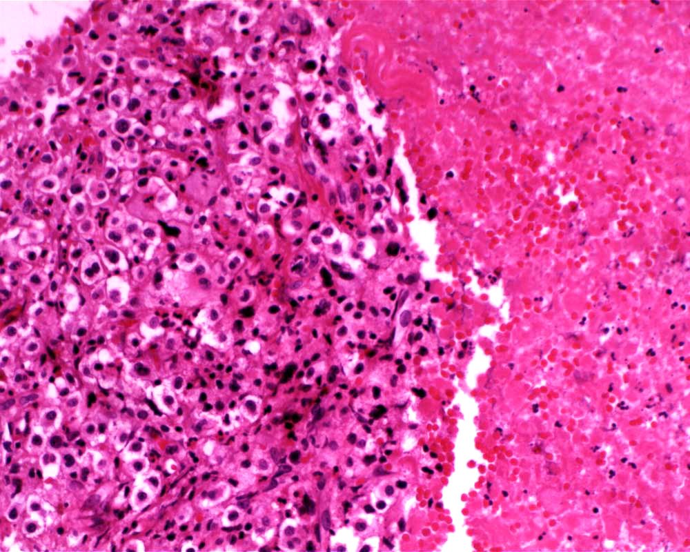
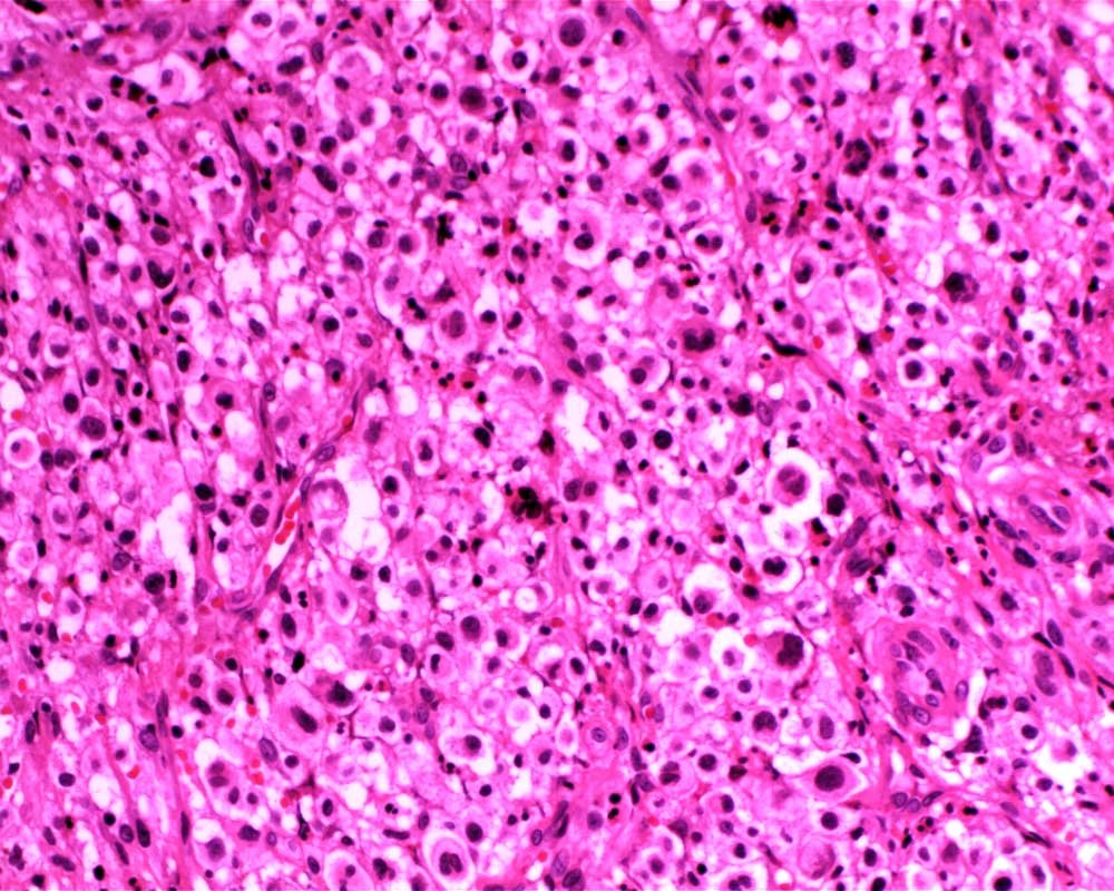
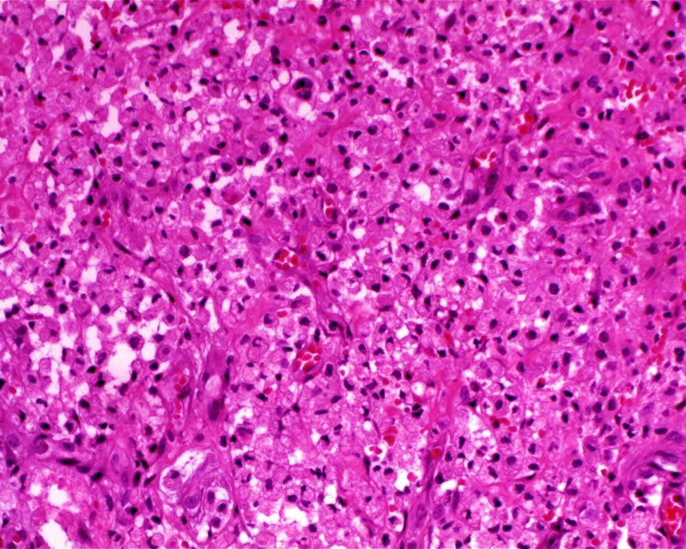
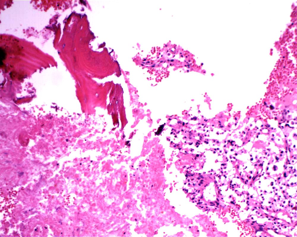
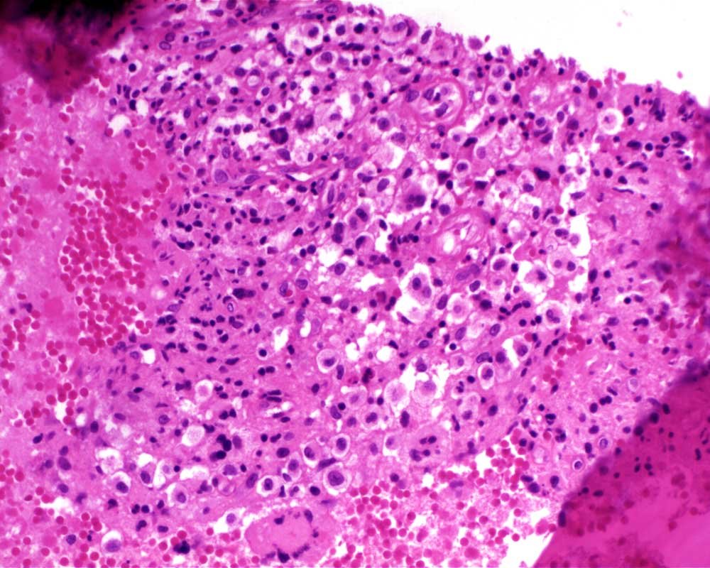
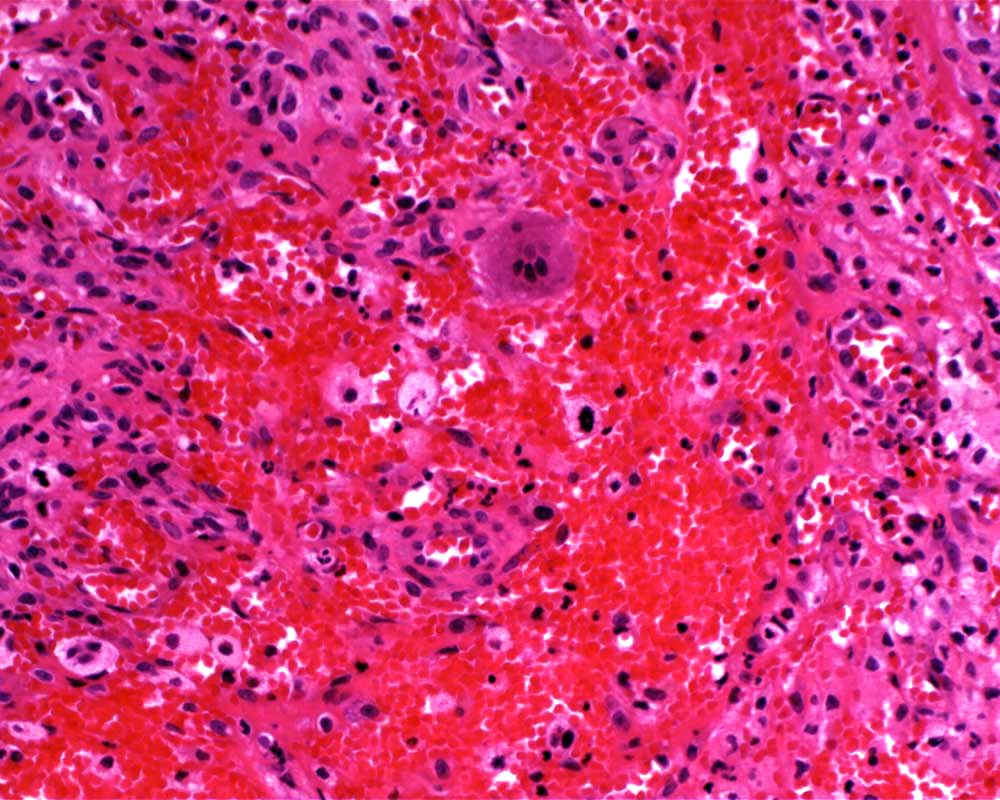
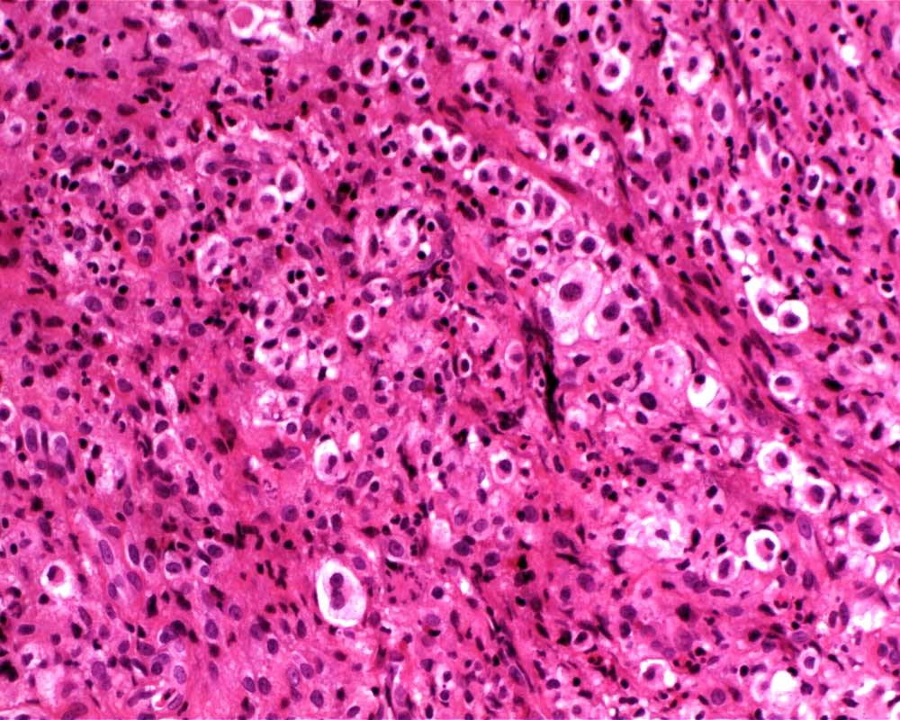
Unknown Case
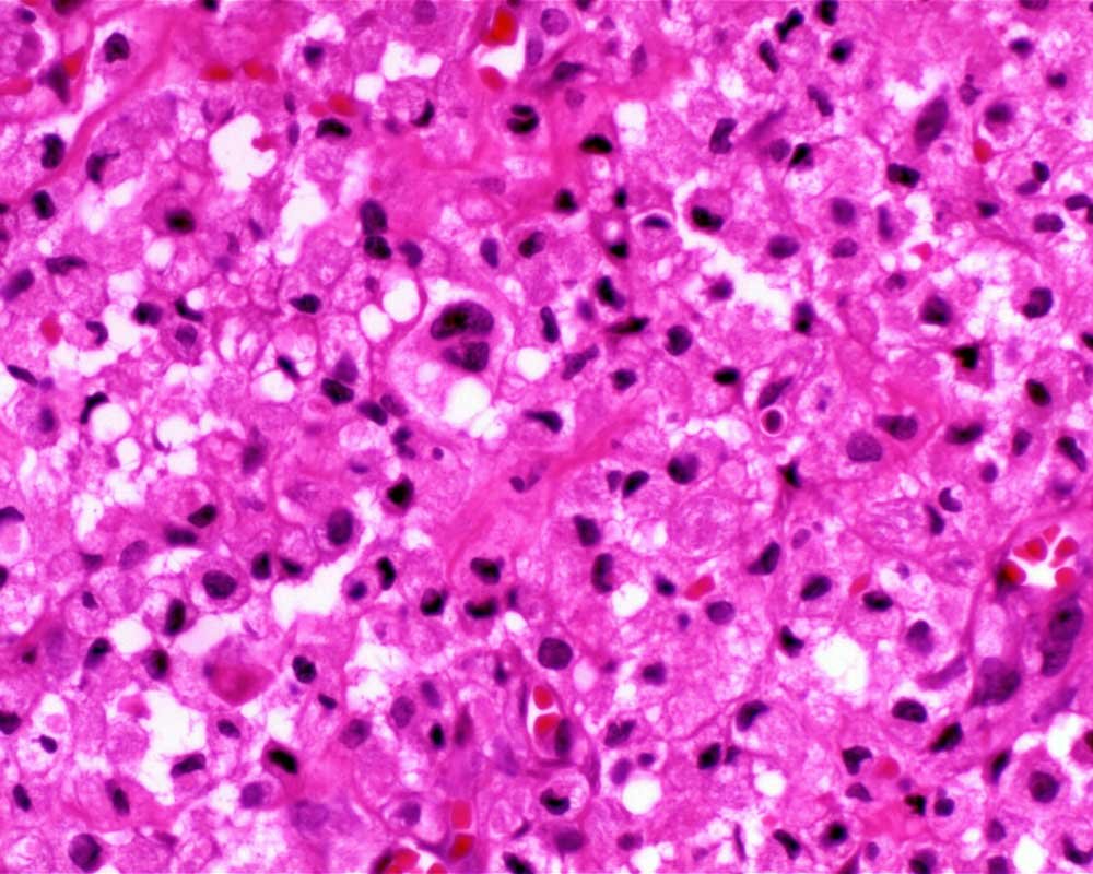
Case: FemurLesion
Specials to Order:
Final Diagnosis: