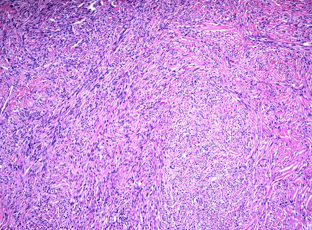
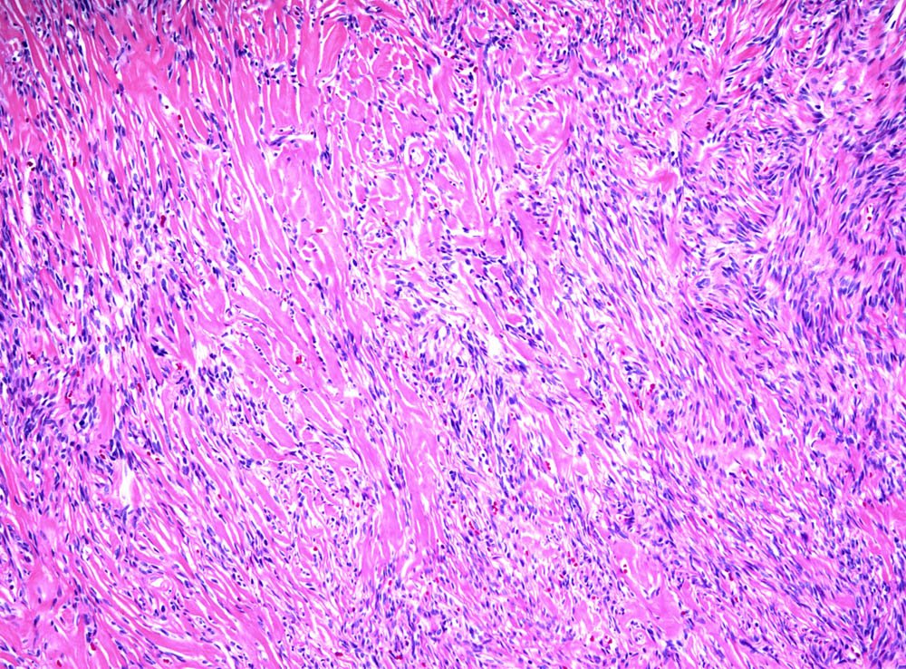
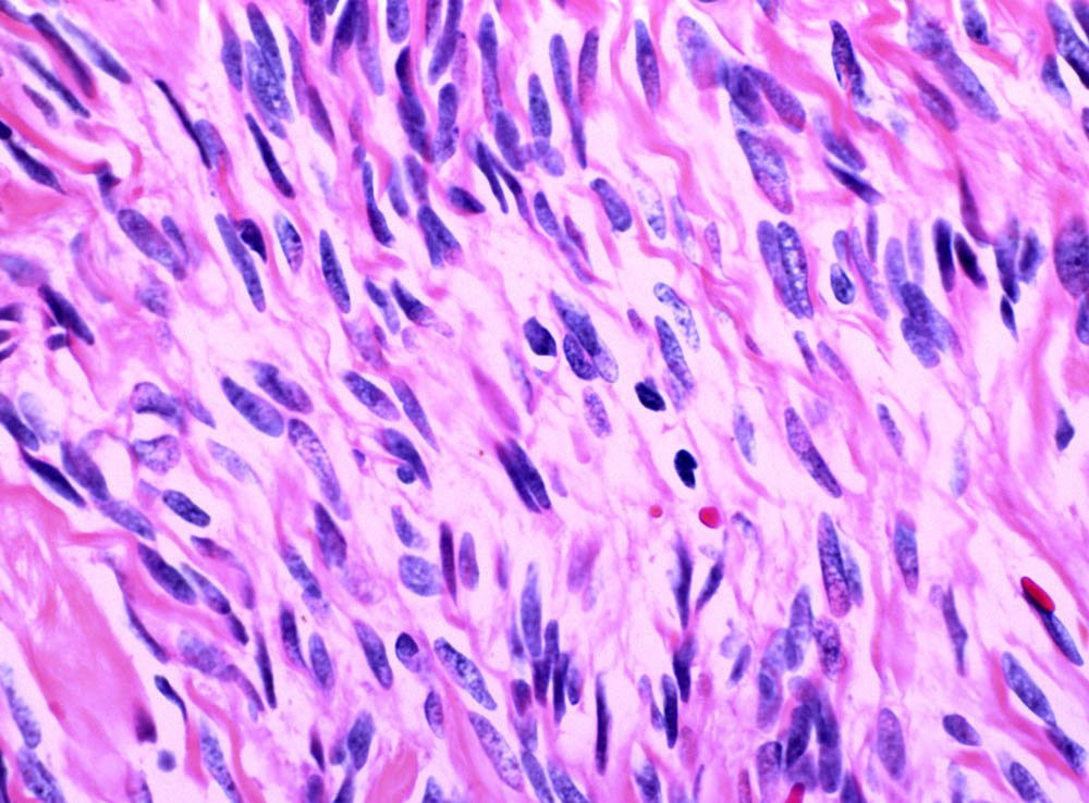
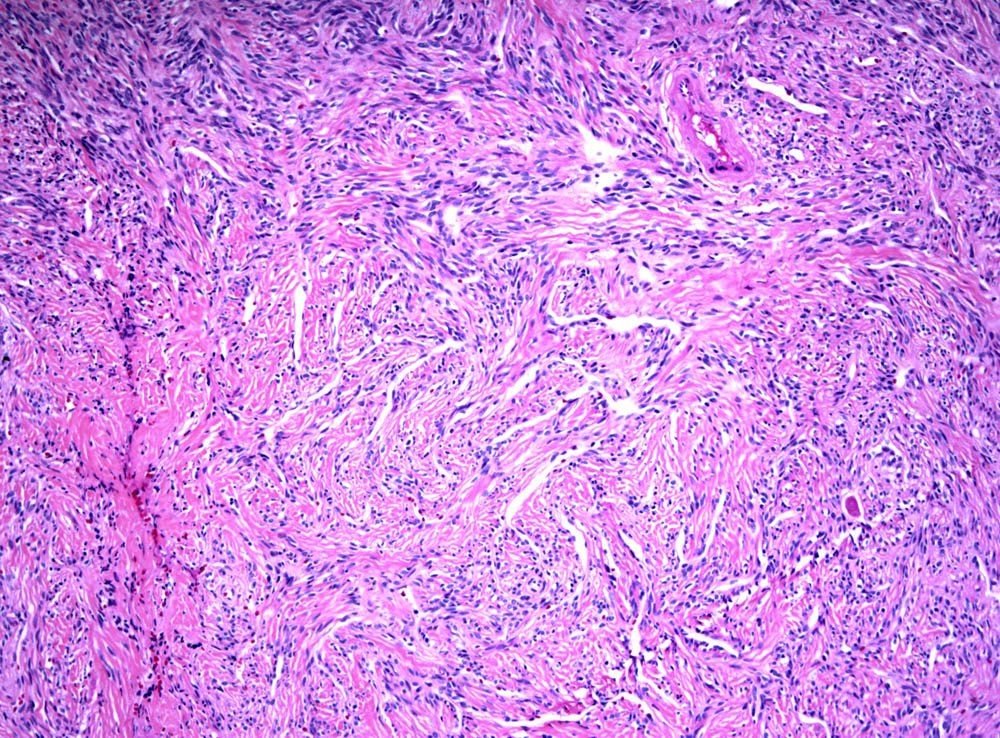
Unknown Case
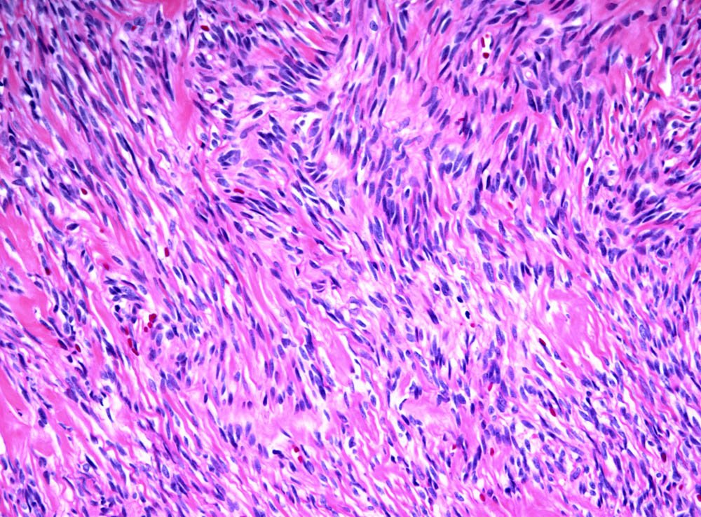
Case: SpinalMass
Specials to Order:
Final Diagnosis: