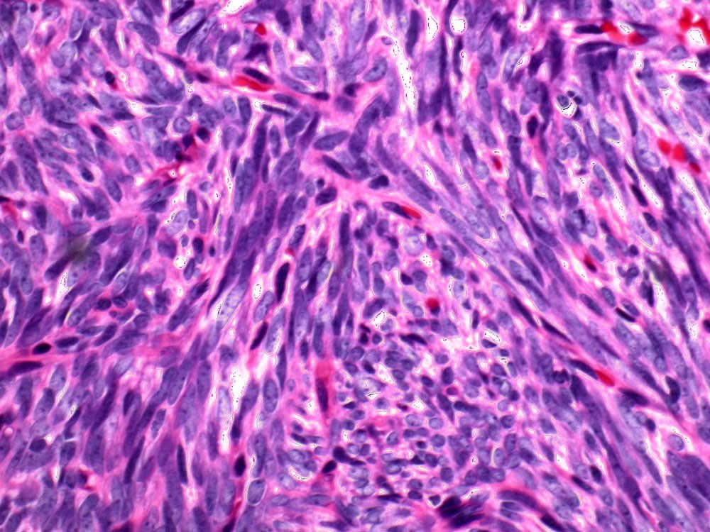
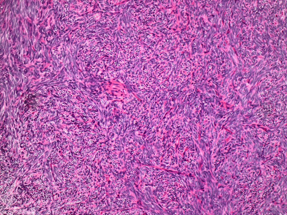
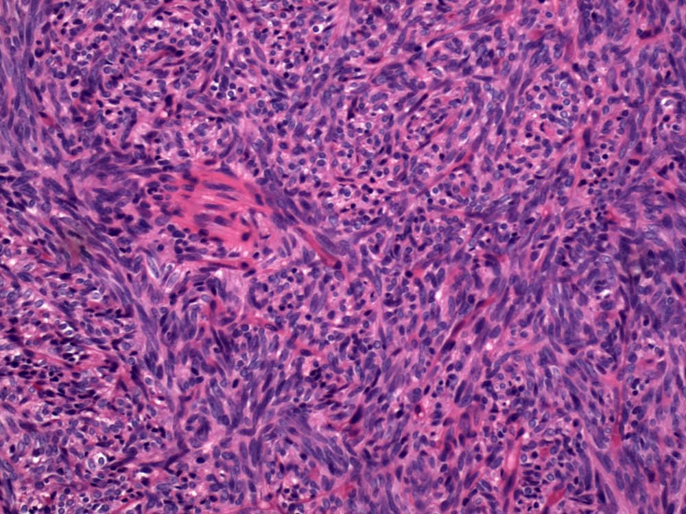
Unknown Case
Case: ShoulderMass
Specials to Order:
Final Diagnosis: