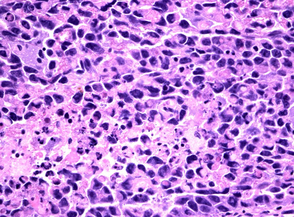
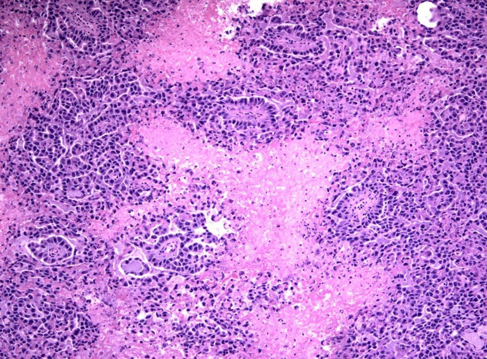
Unknown Case
Case: IliacLymphNode
Specials to Order:
Final Diagnosis: