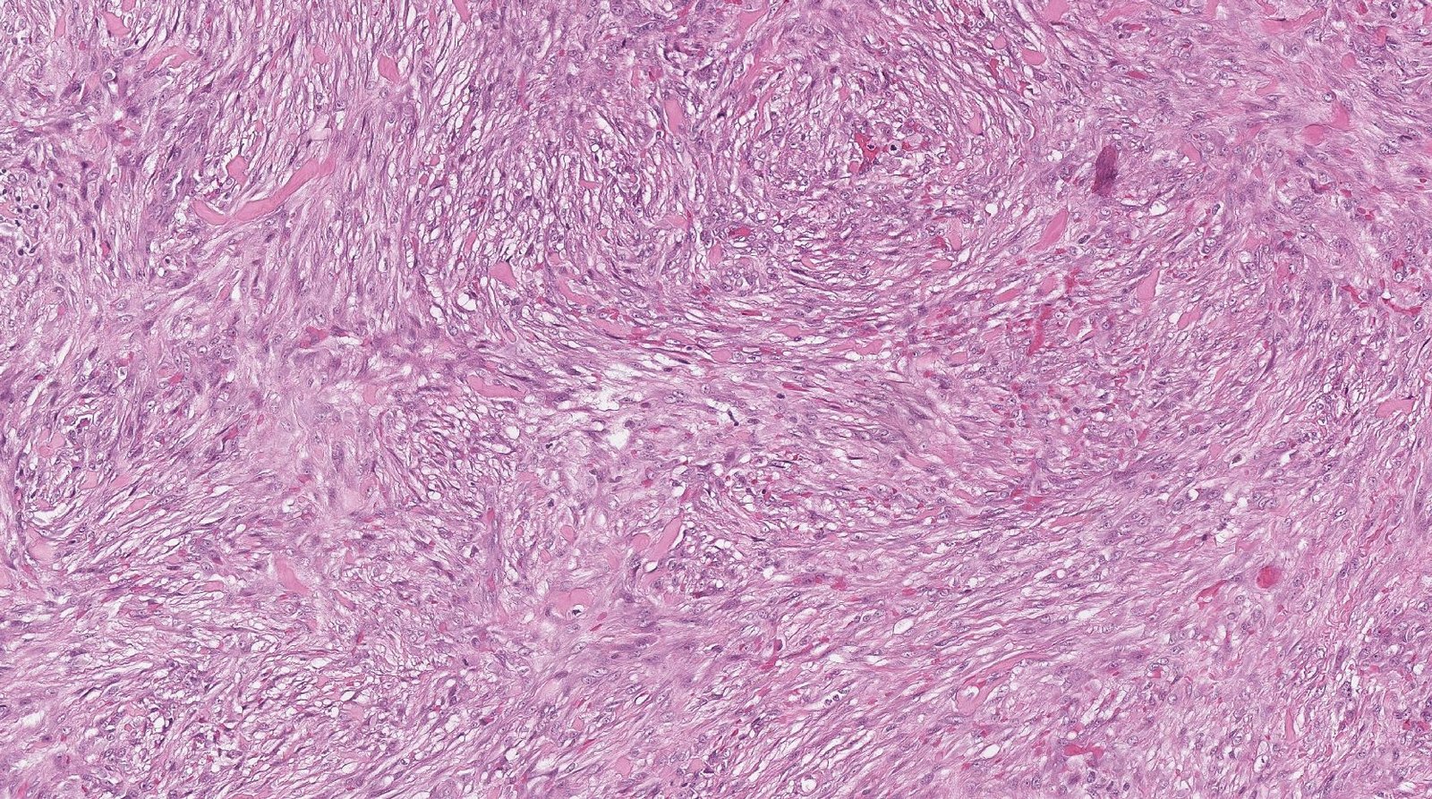
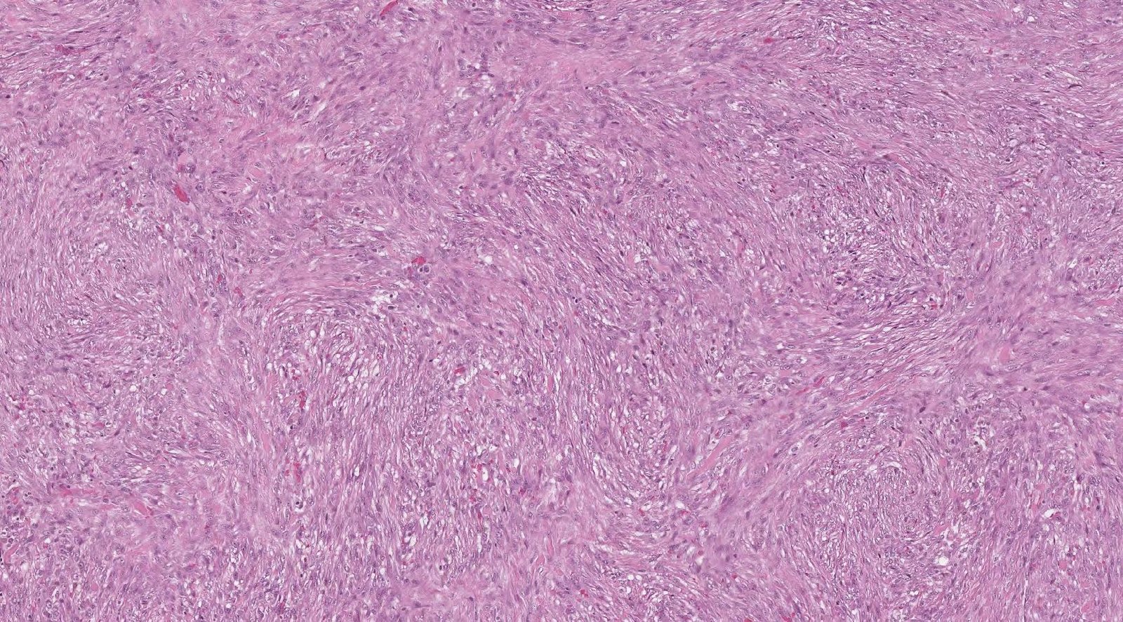
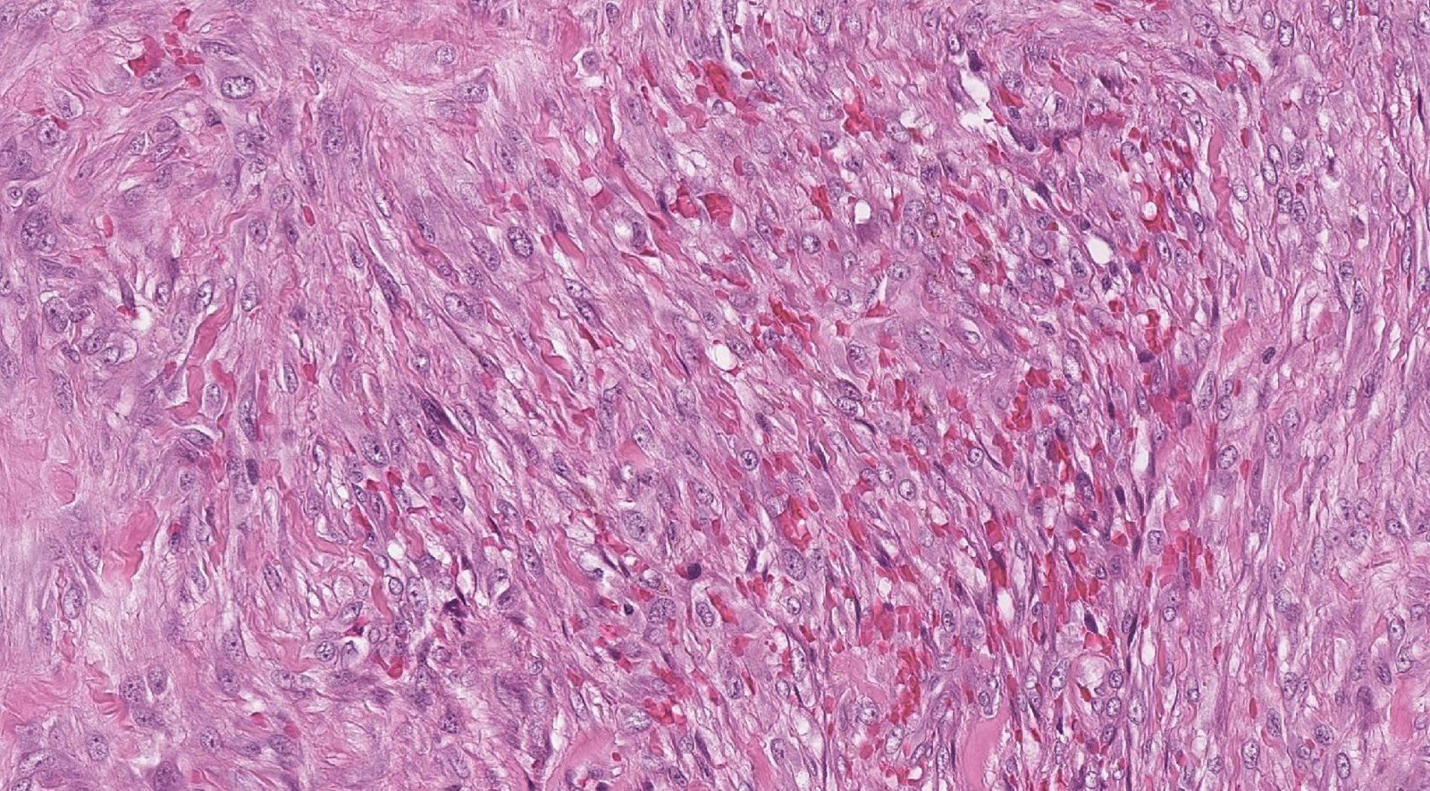
Unknown Case
Case: WristMass
Specials to Order:
Final Diagnosis: