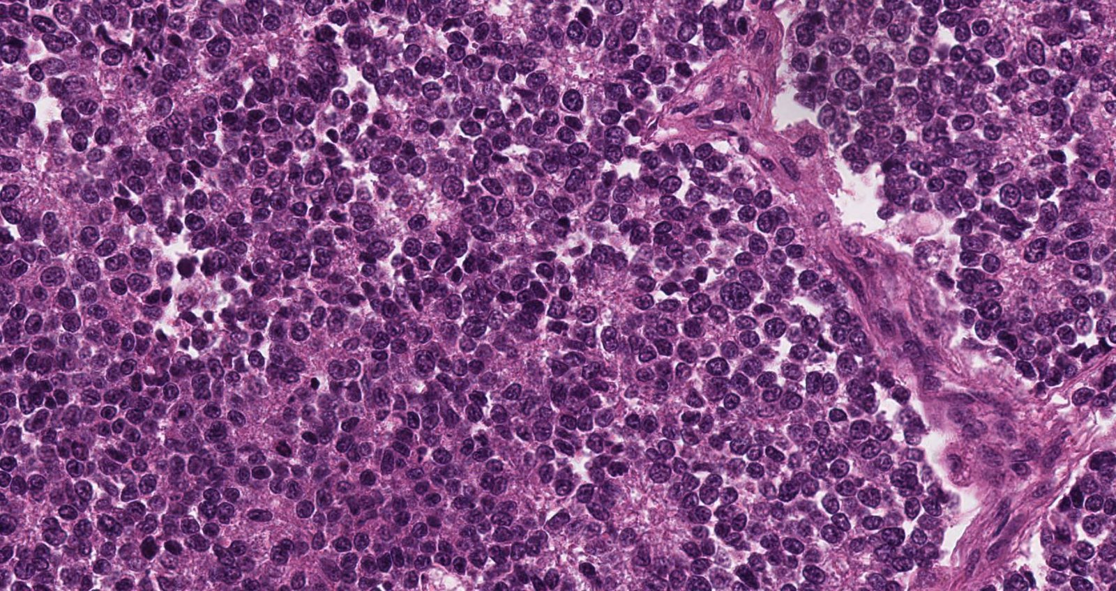
Unknown Case
Case: TibialMass
Specials to Order:
Final Diagnosis: