Unknown Case
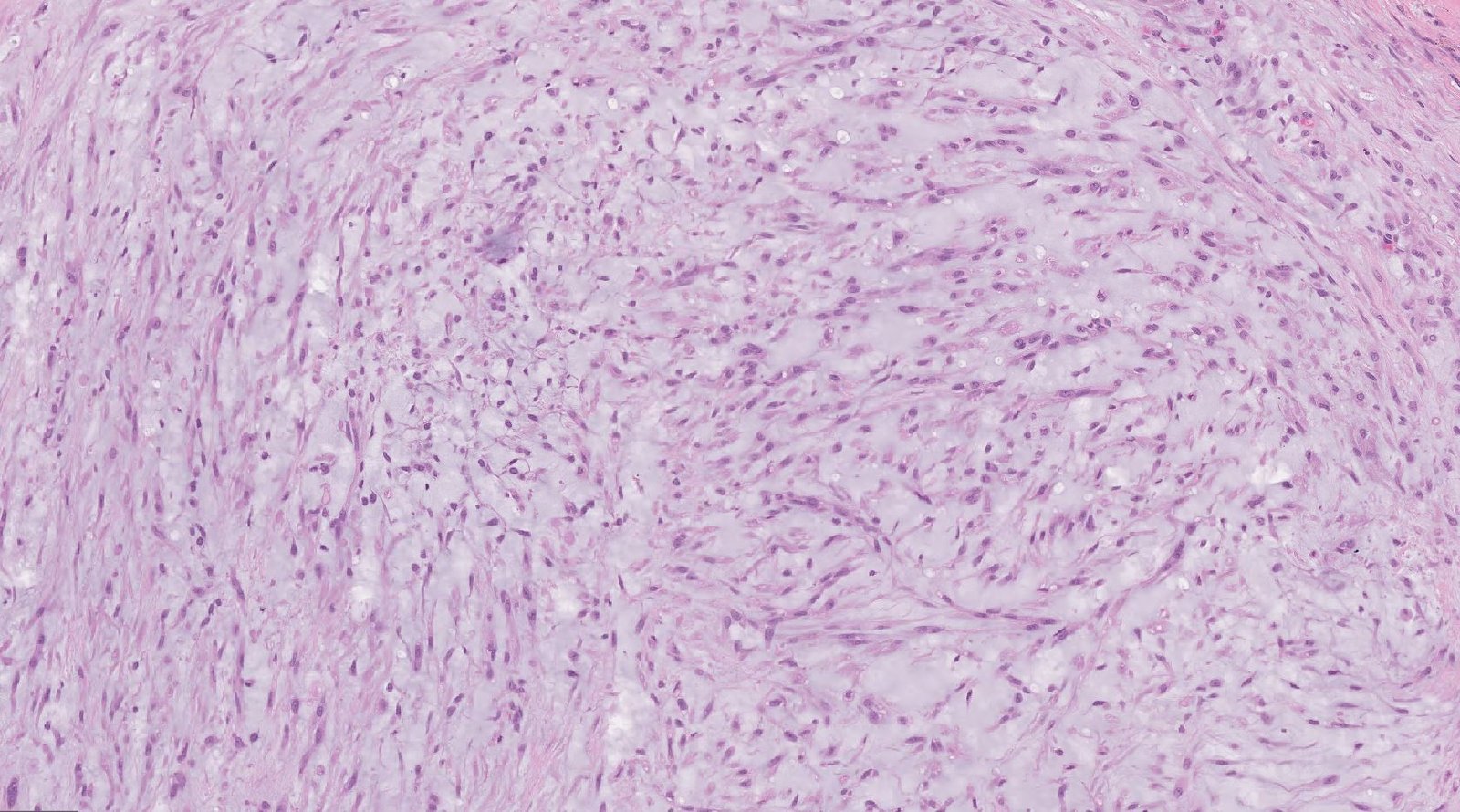
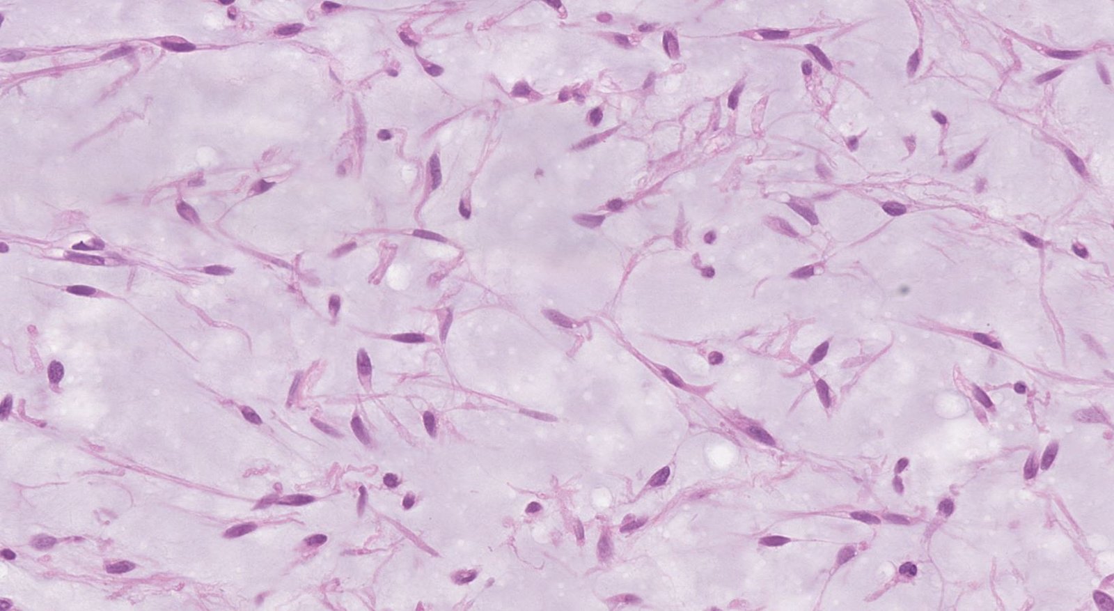
Case: ThighMass4
Specials to Order:
Final Diagnosis: