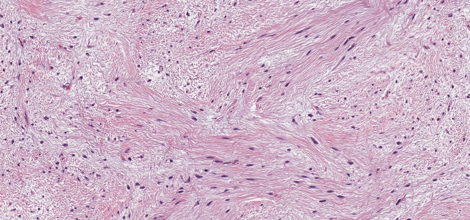
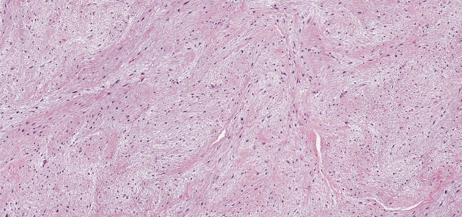
Unknown Case
Case: ThighMass3
Specials to Order:
Final Diagnosis: