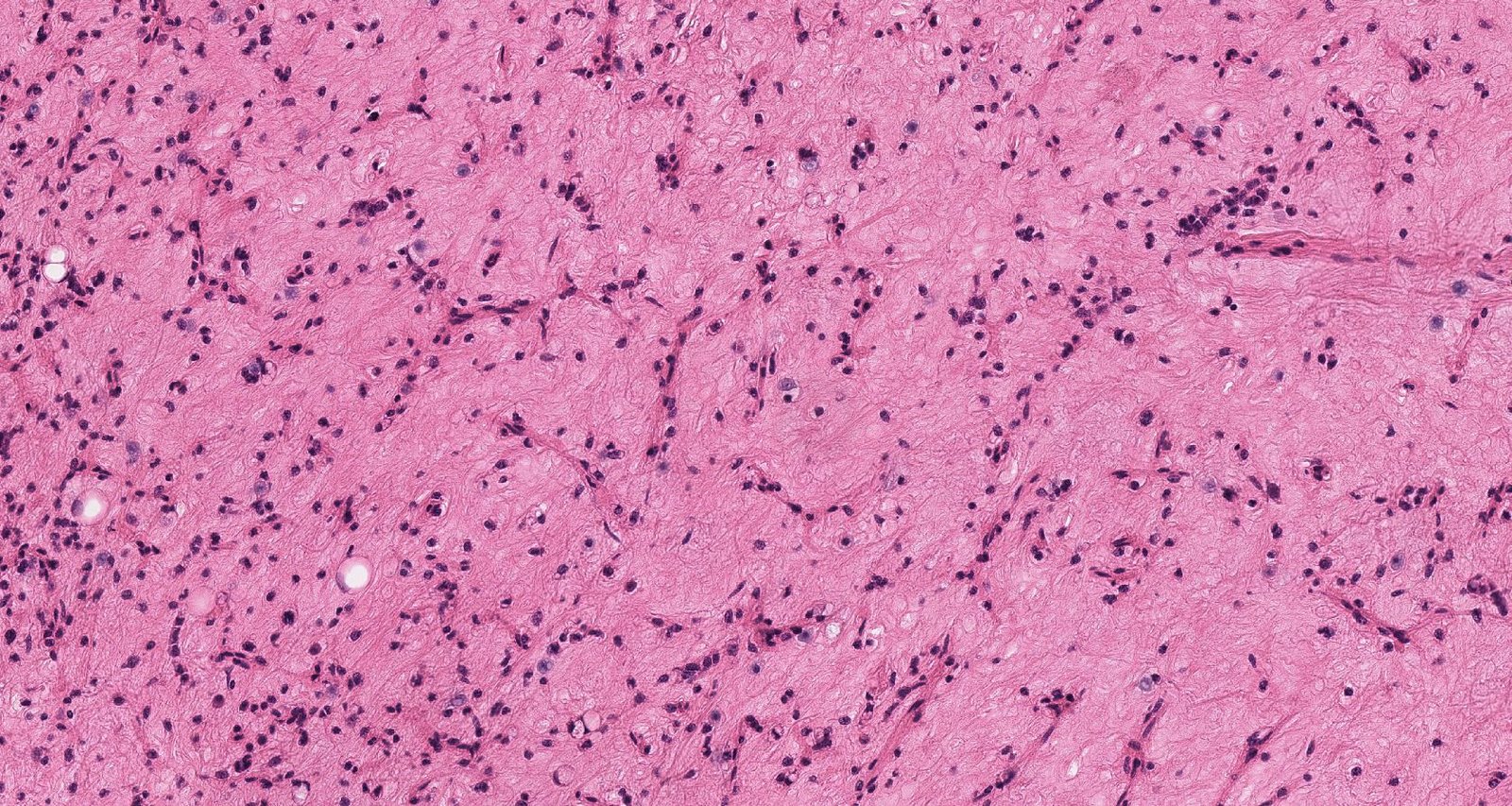
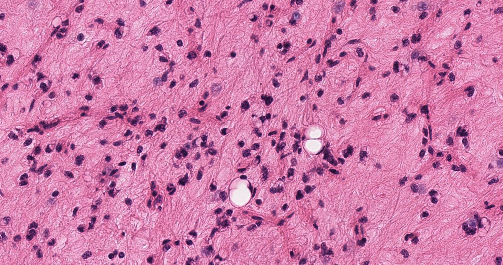
Unknown Case
Case: ThighMass2
Specials to Order:
Final Diagnosis: