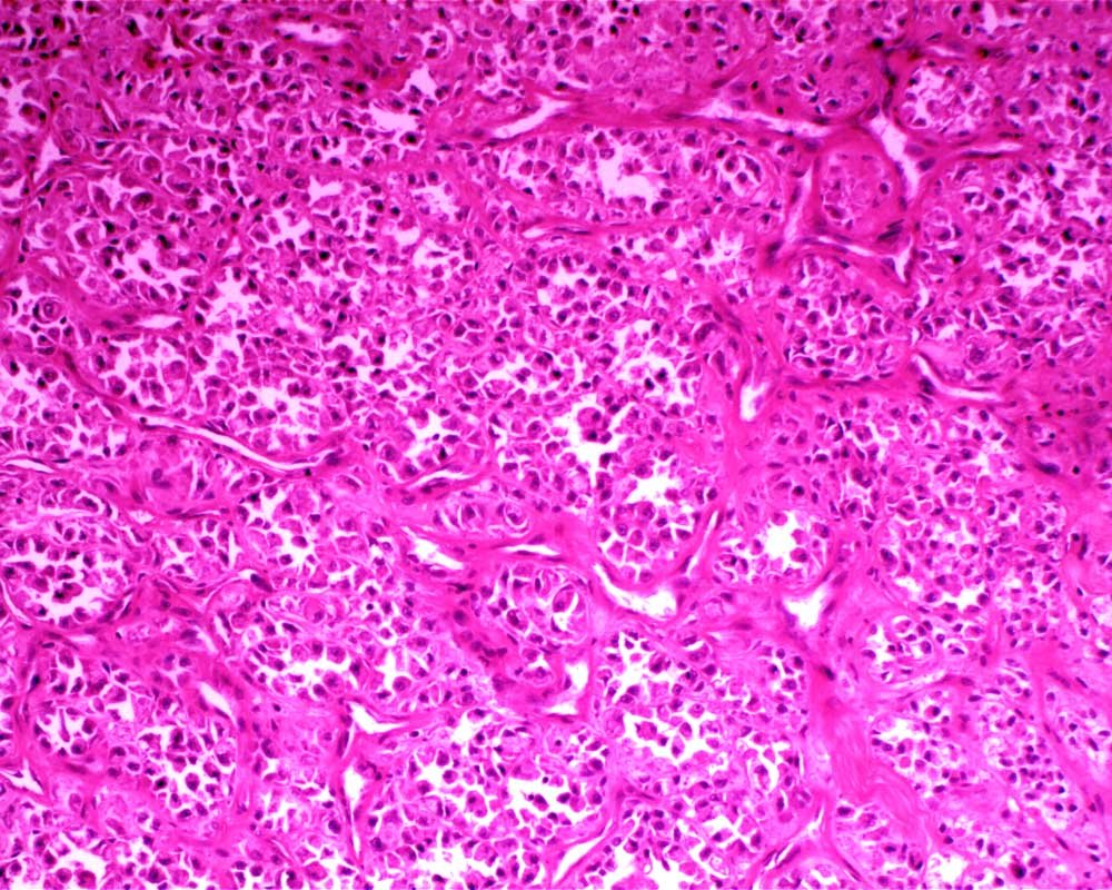
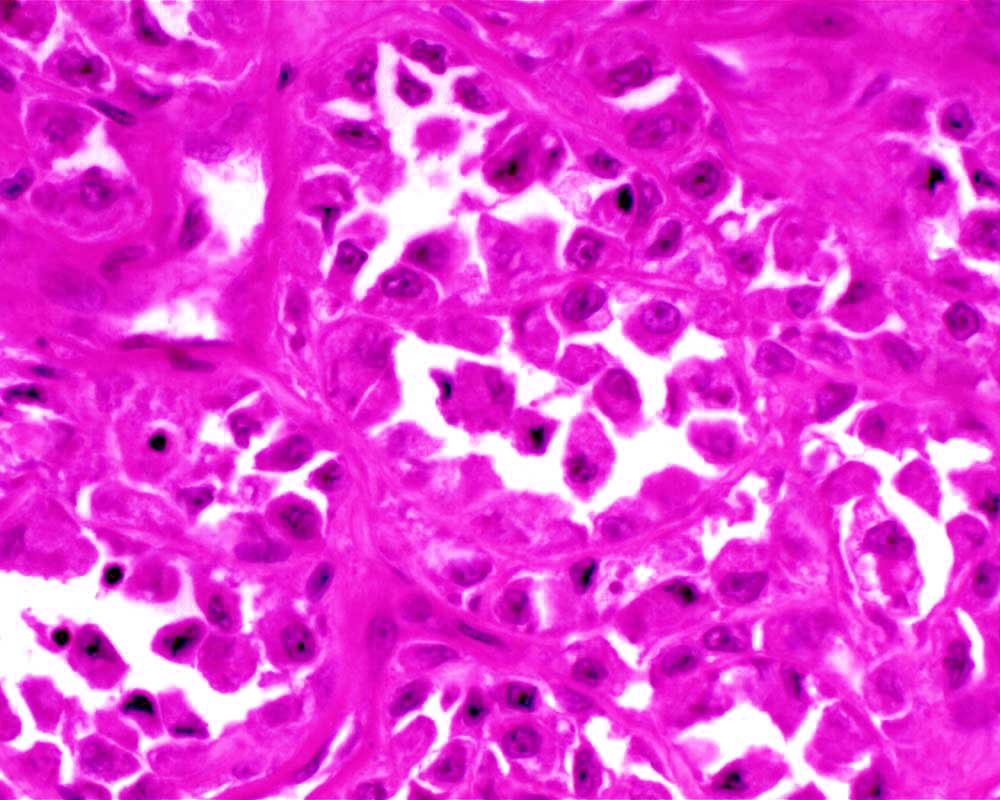
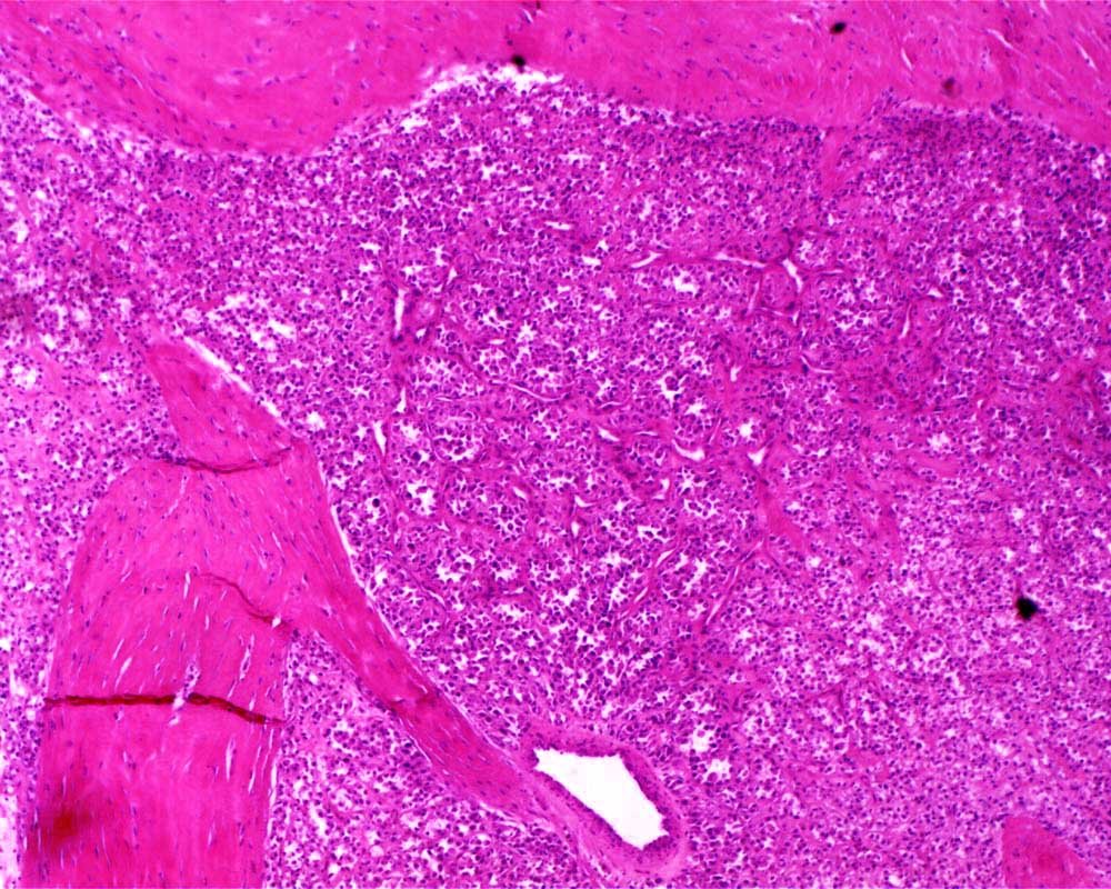
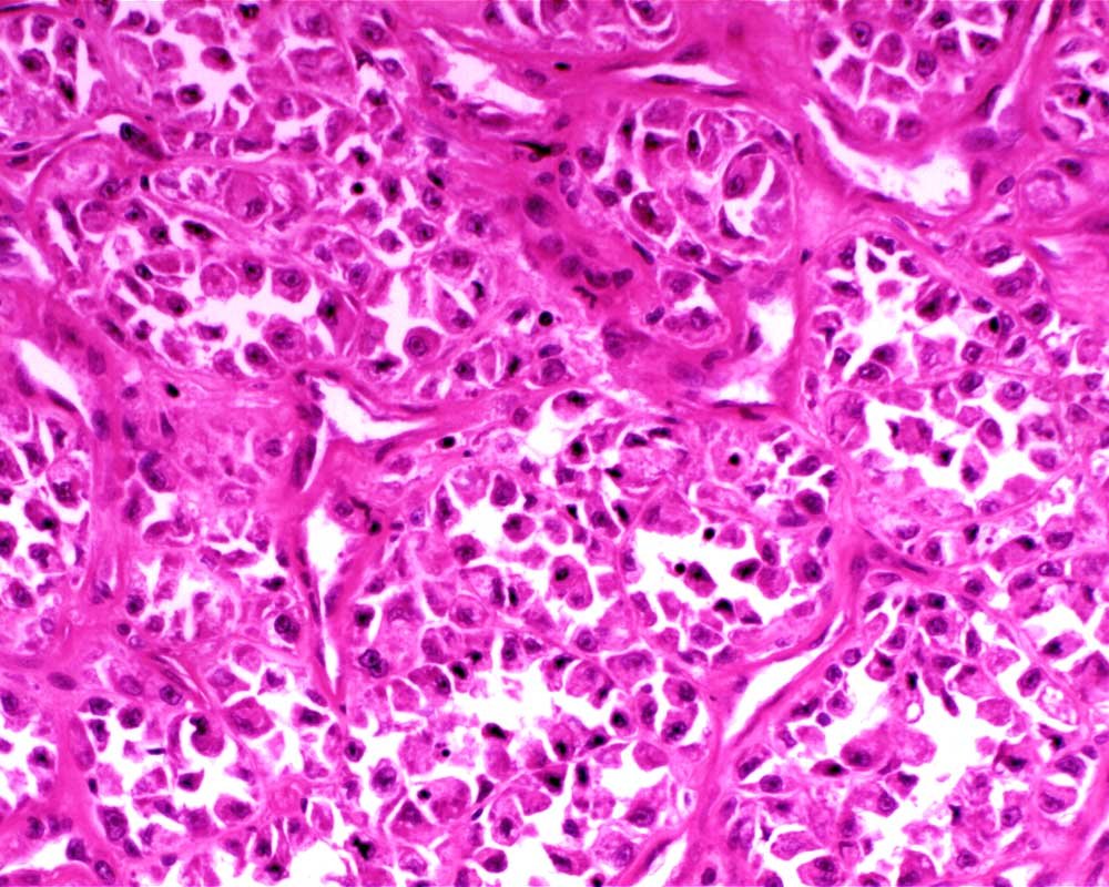
Unknown Case
Case: ThighMass
Specials to Order:
Final Diagnosis: