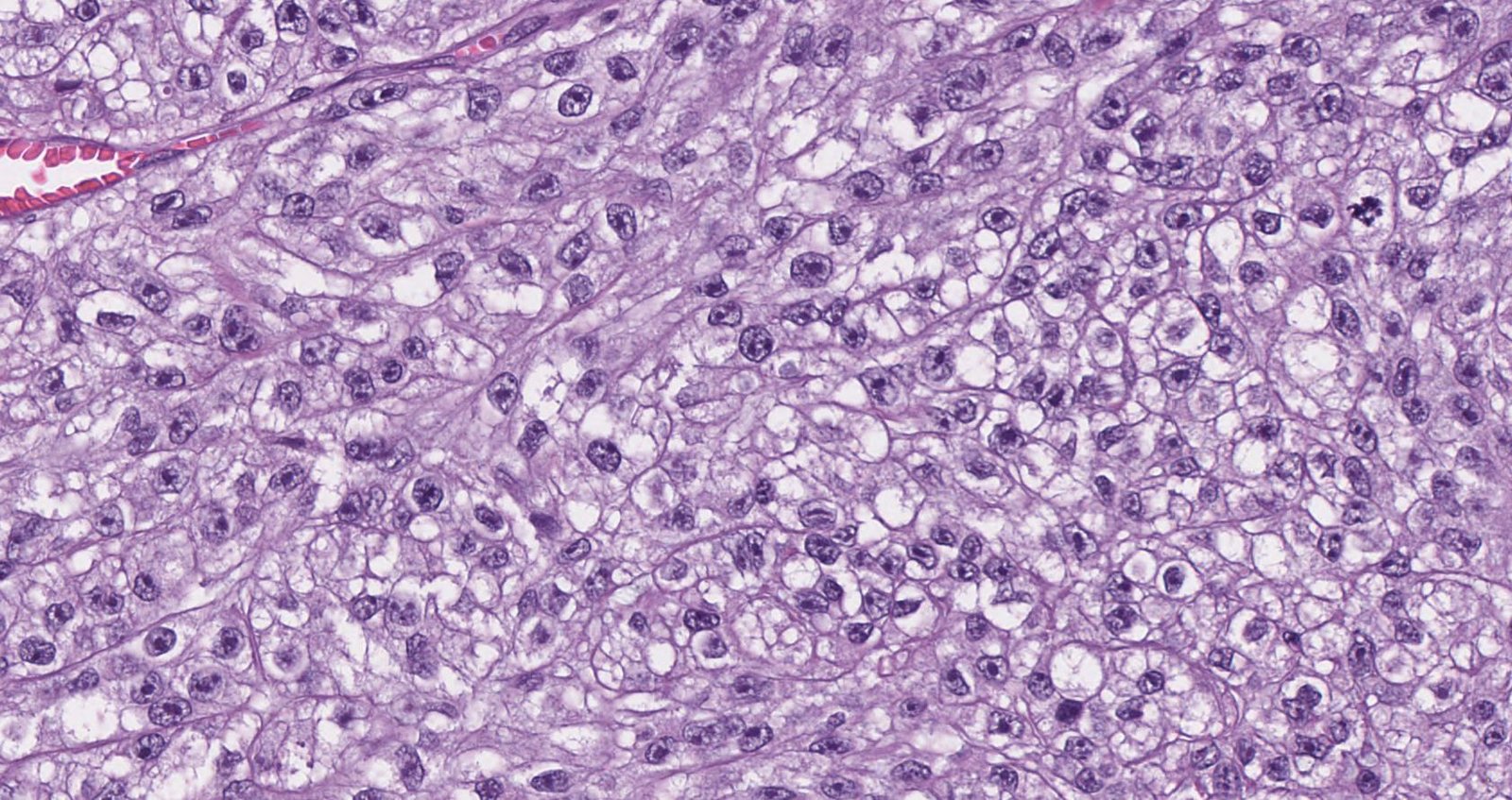
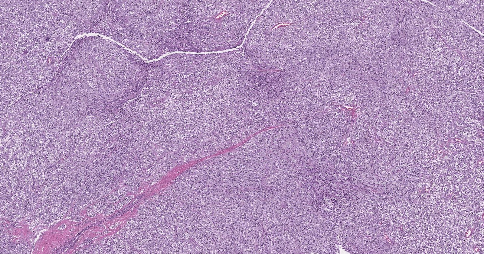
Unknown Case
Case: TendonMass
Specials to Order:
Final Diagnosis: