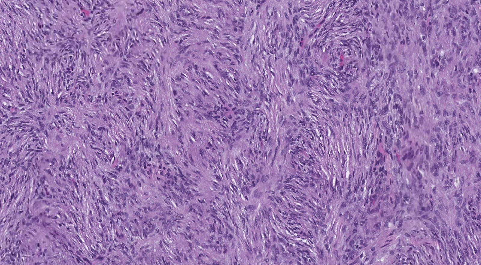
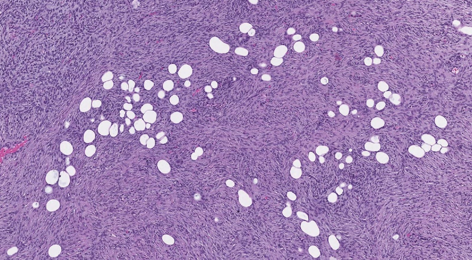
Unknown Case
Case: SkinNodule
Specials to Order:
Final Diagnosis: