Unknown Case
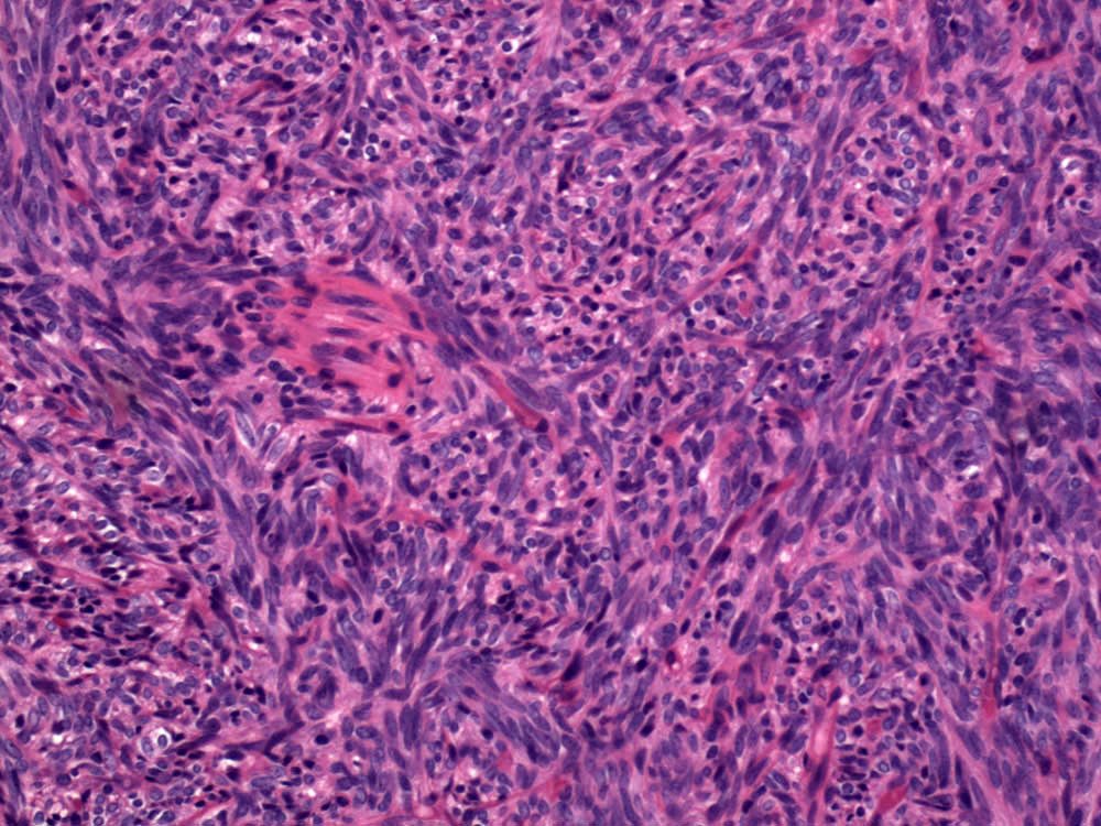
Case: ShoulderMass
Specials to Order:
Final Diagnosis: