Unknown Case
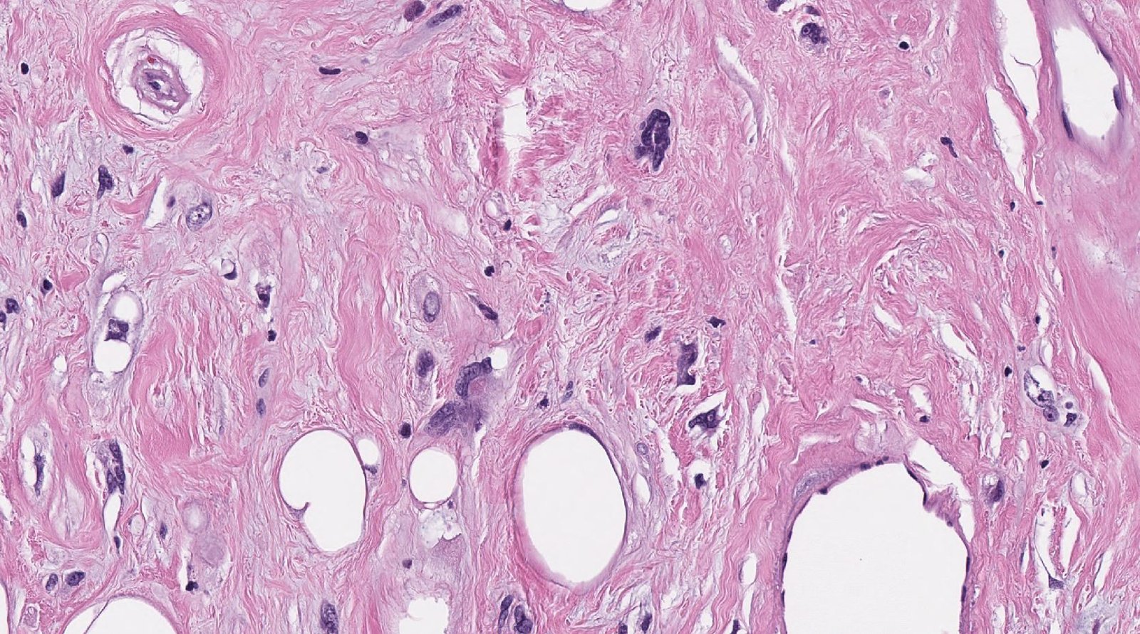
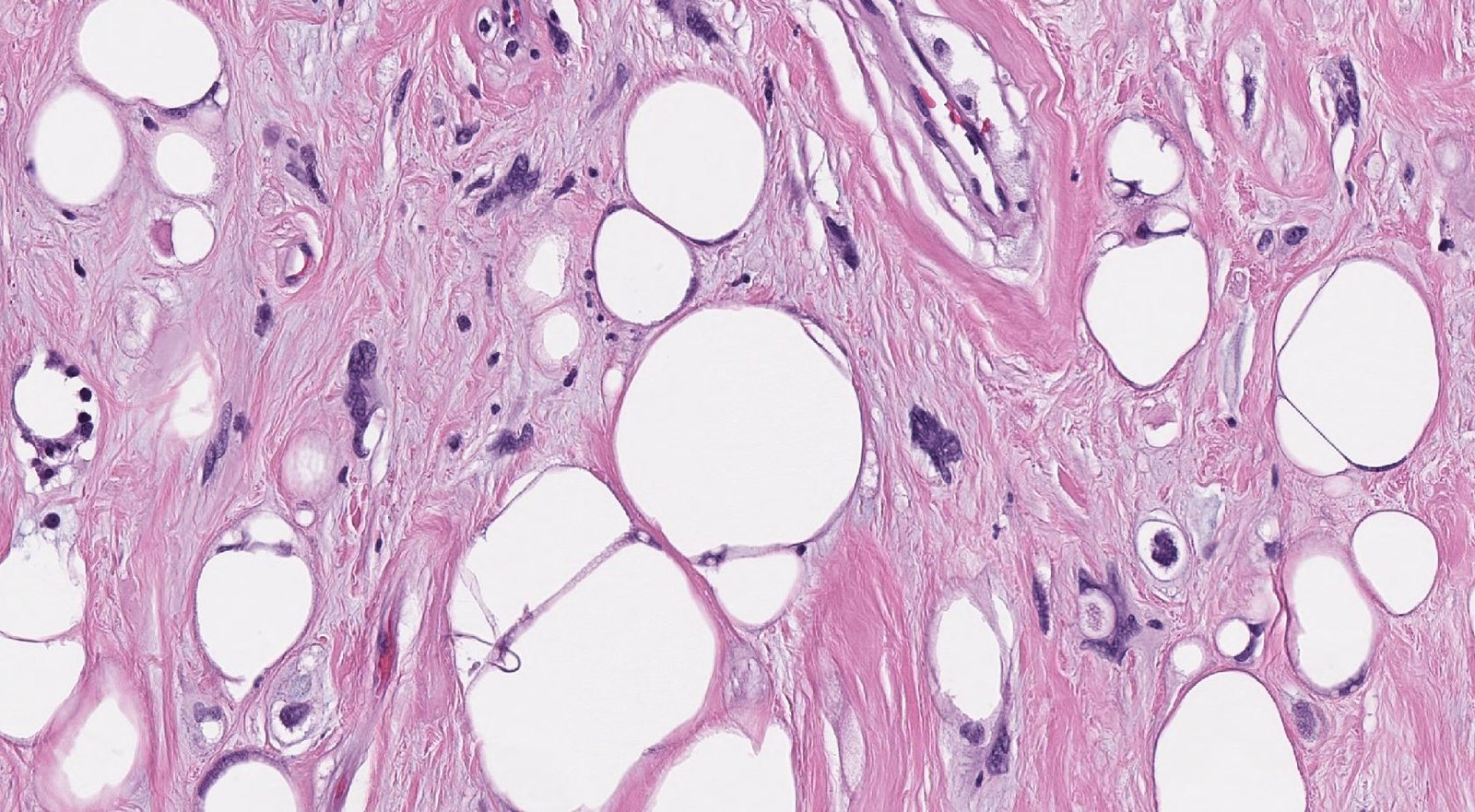
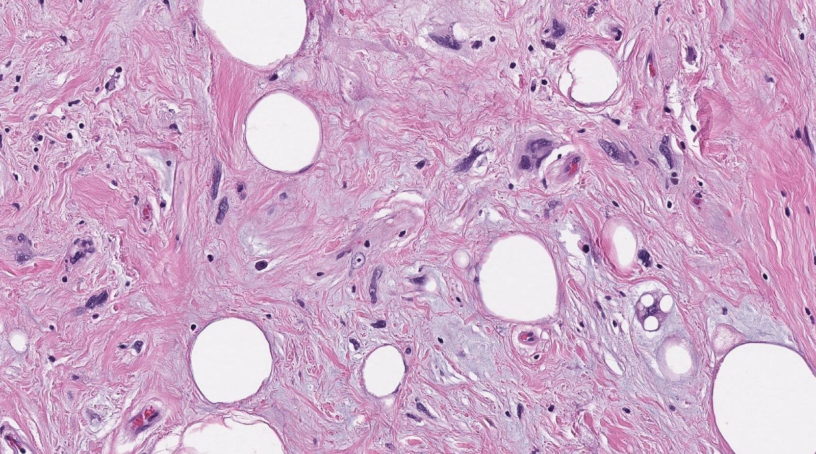
Case: RetroperitonealMass
Specials to Order:
Final Diagnosis: