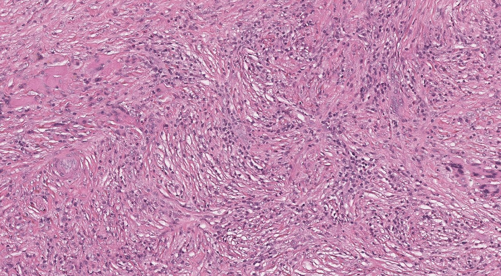
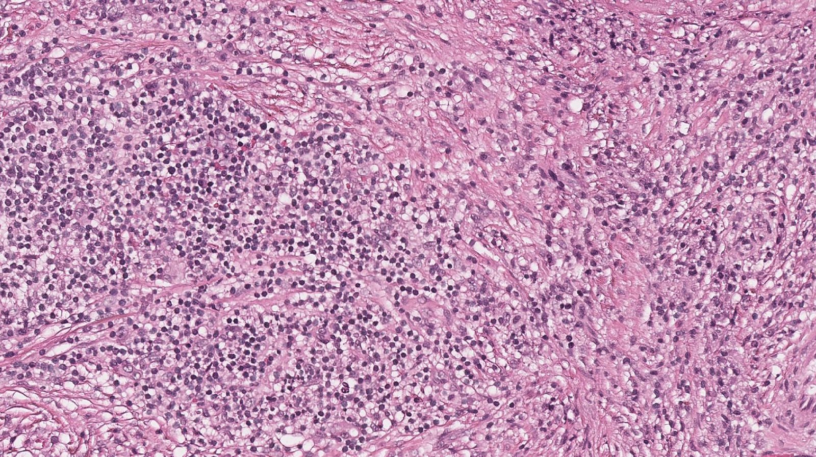
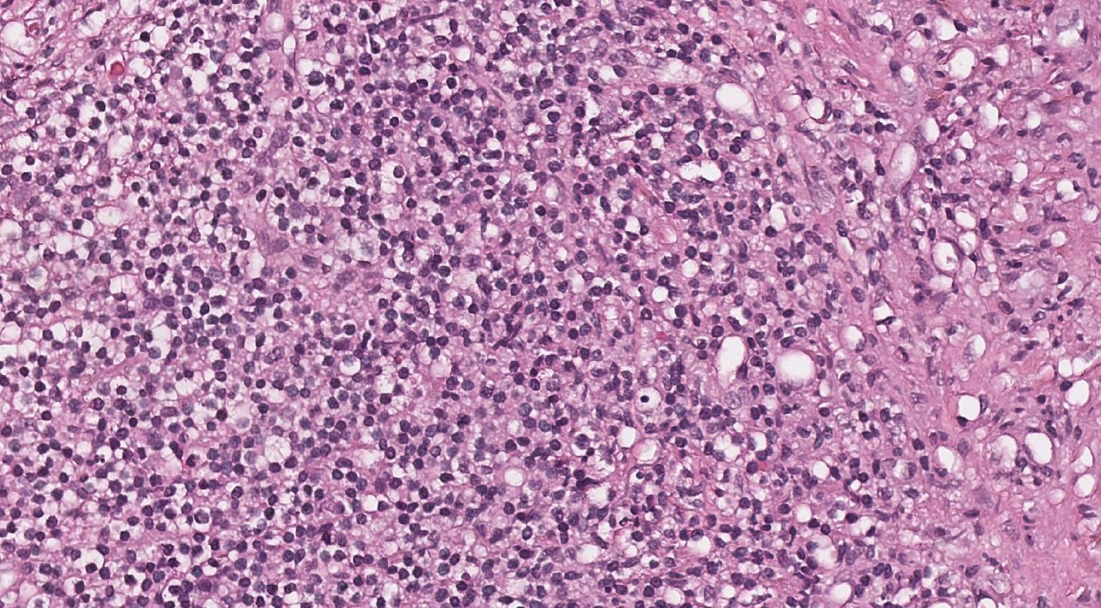
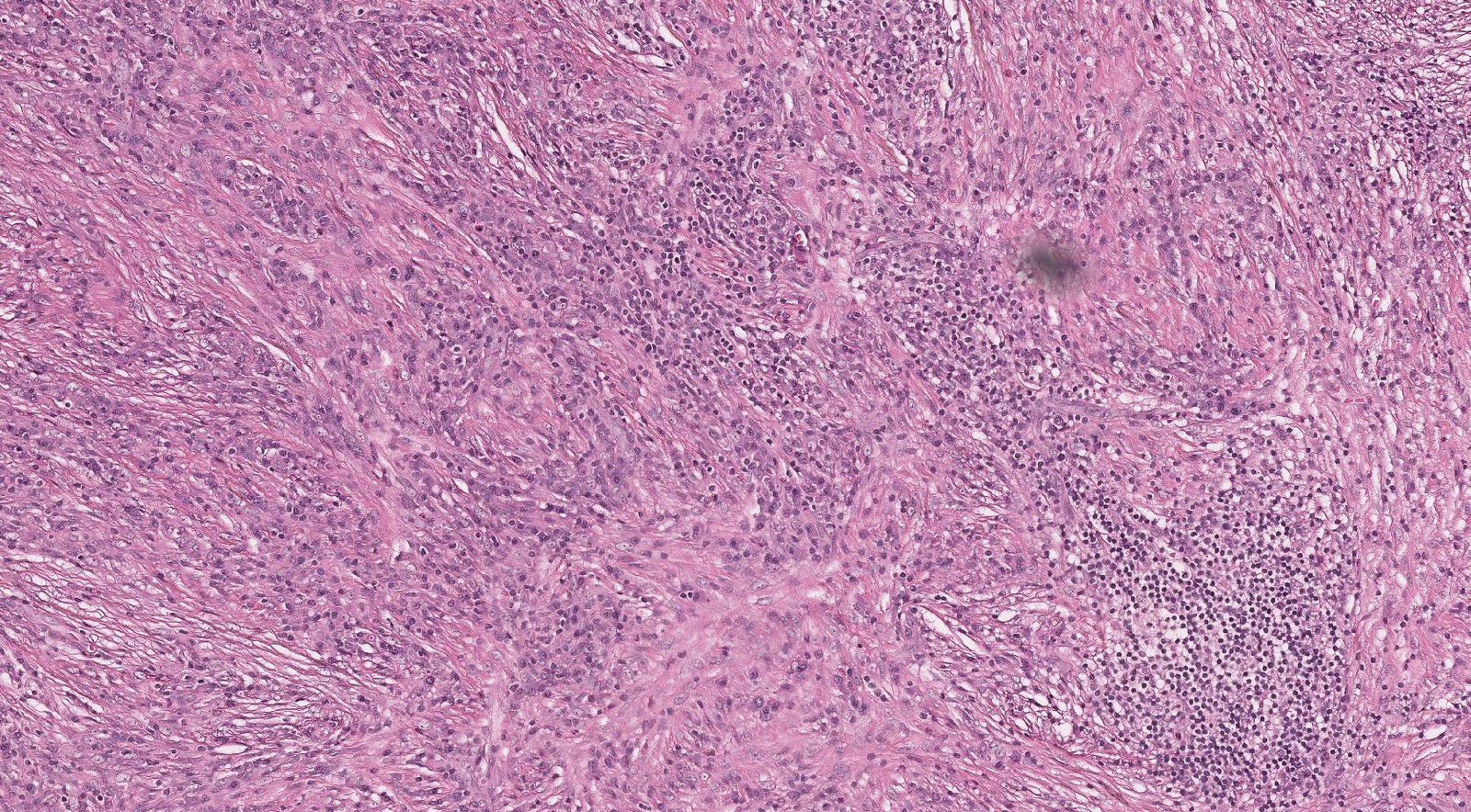
Unknown Case
Case: LungMass
Specials to Order:
Final Diagnosis: