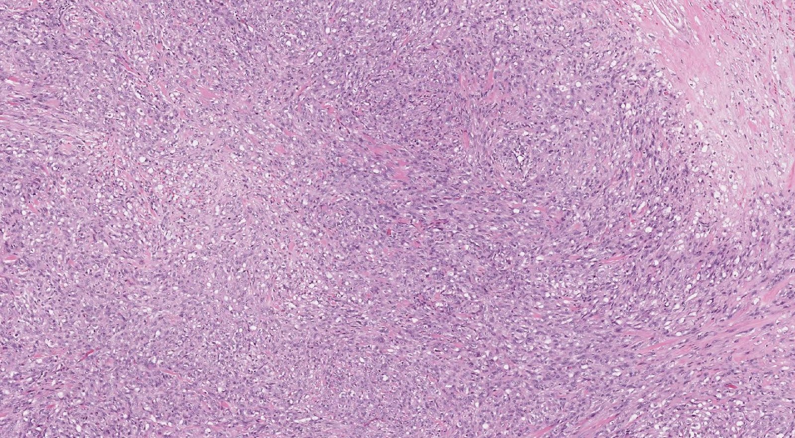
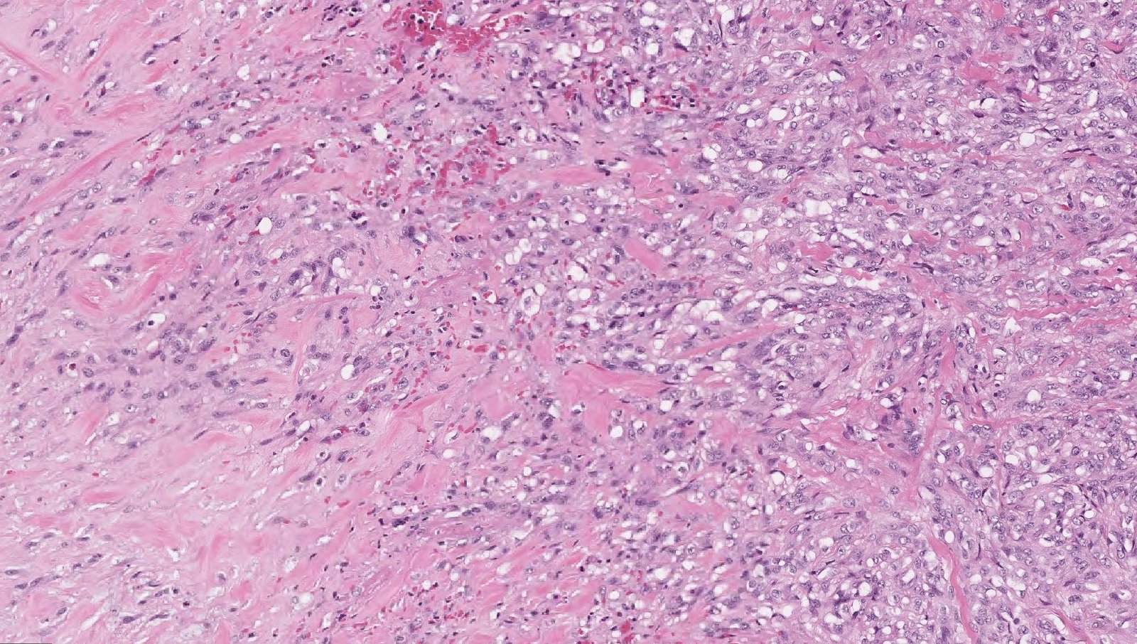
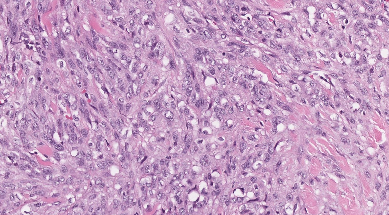
Unknown Case
Case: ArmLesion
Specials to Order:
Final Diagnosis: