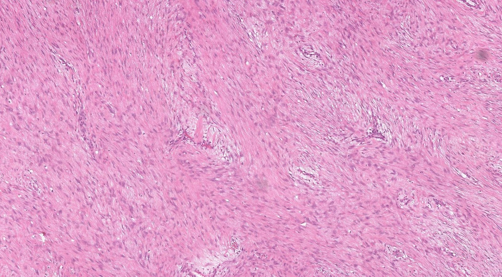
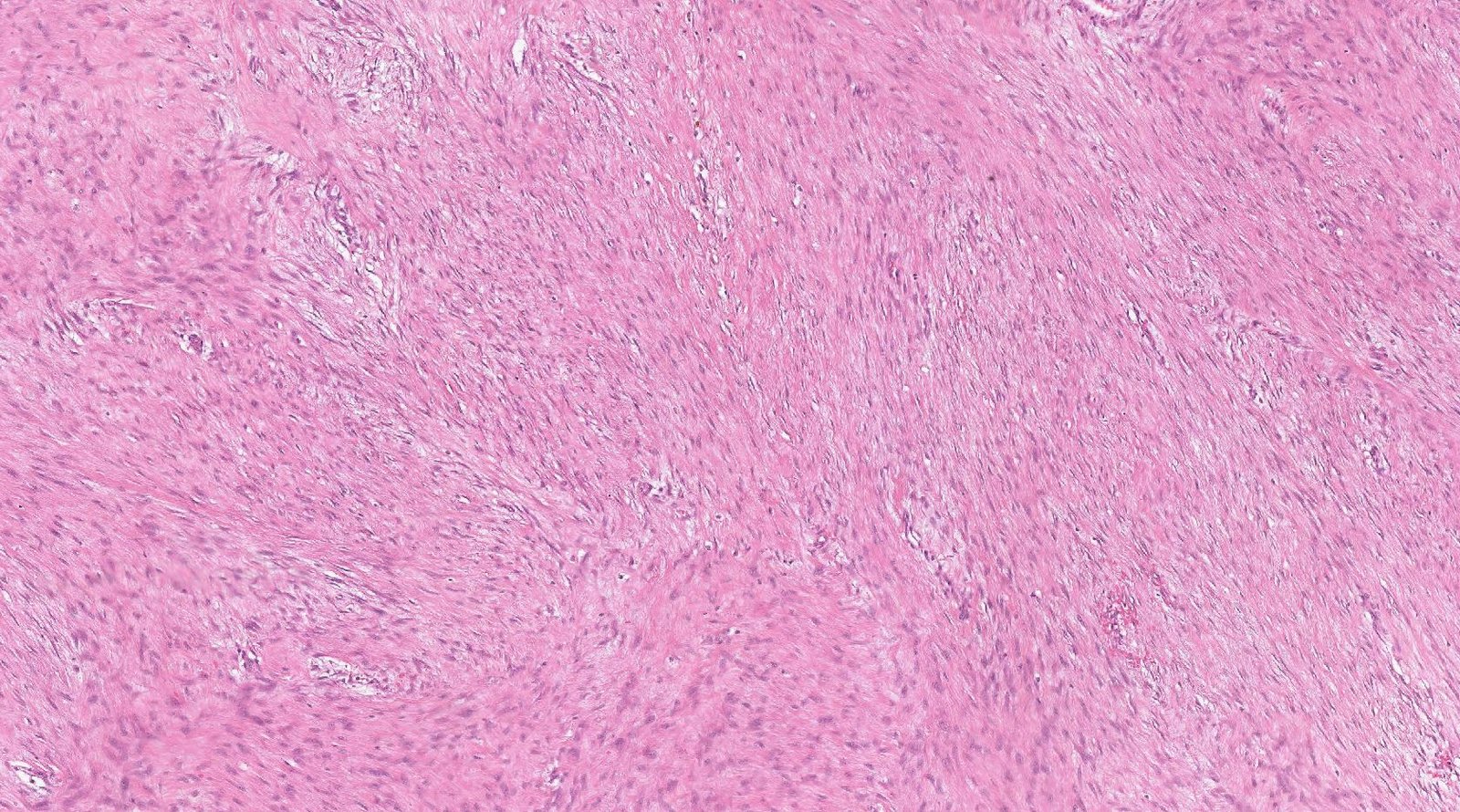
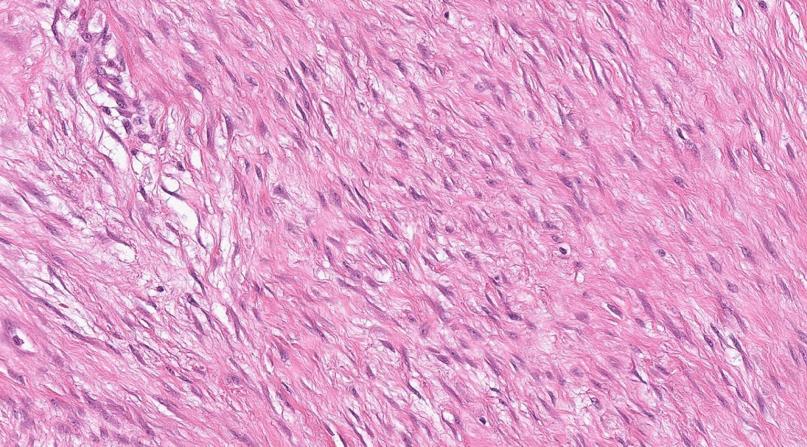
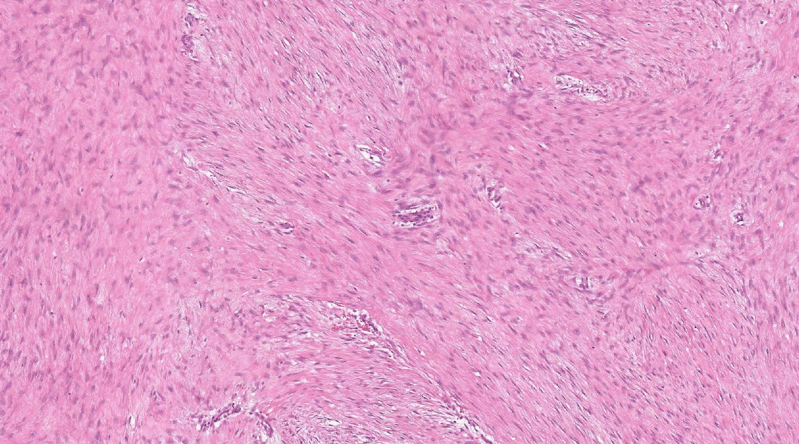
Unknown Case
Case: AbdominalMass2
Specials to Order:
Final Diagnosis: