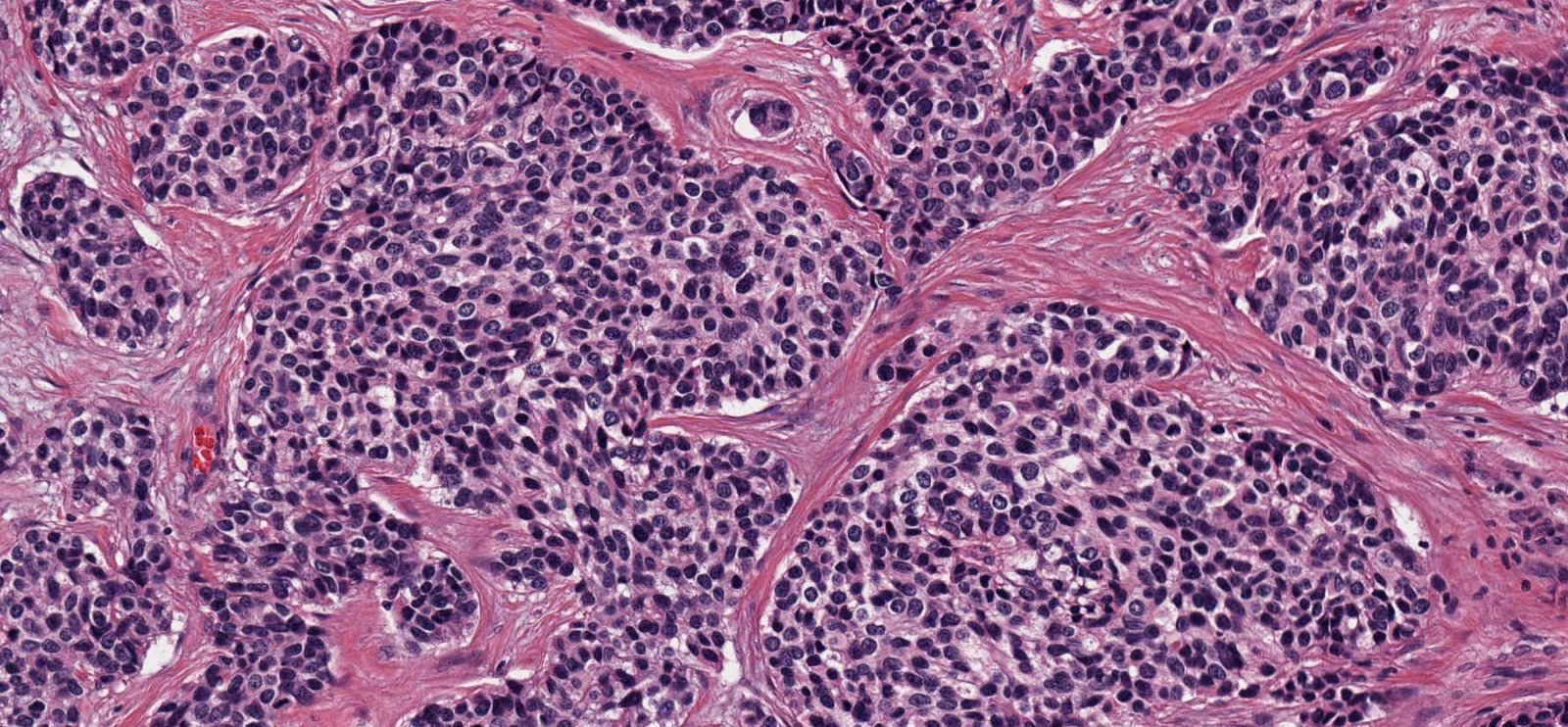
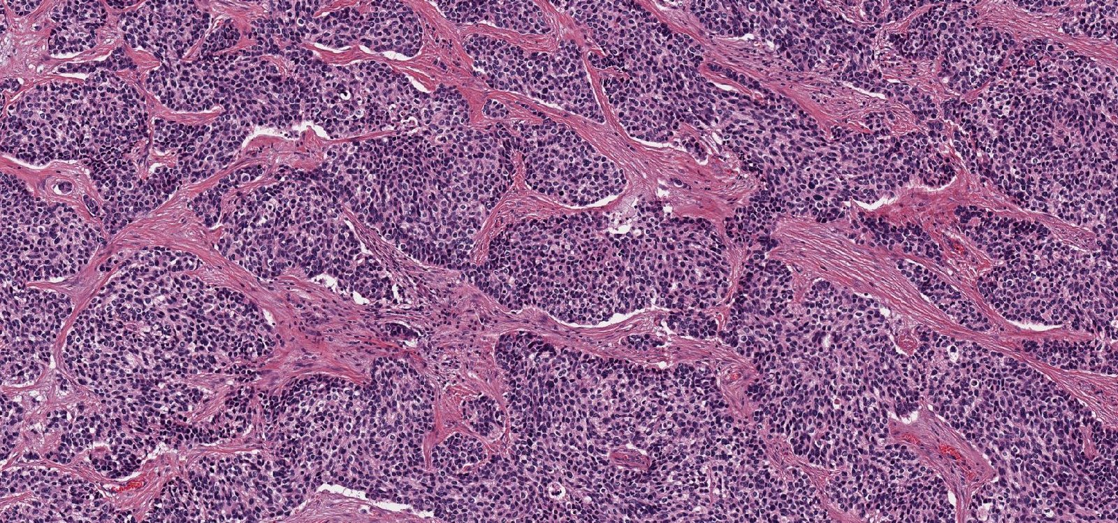
Unknown Case
Case: AbdominalMass
Specials to Order:
Final Diagnosis: