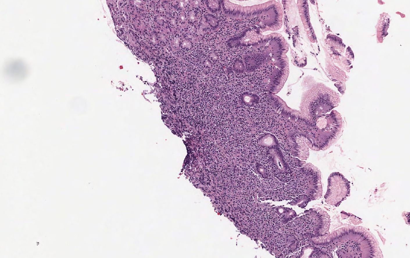
Unknown Case
Case: Stomach
Specials to Order:
Final Diagnosis: