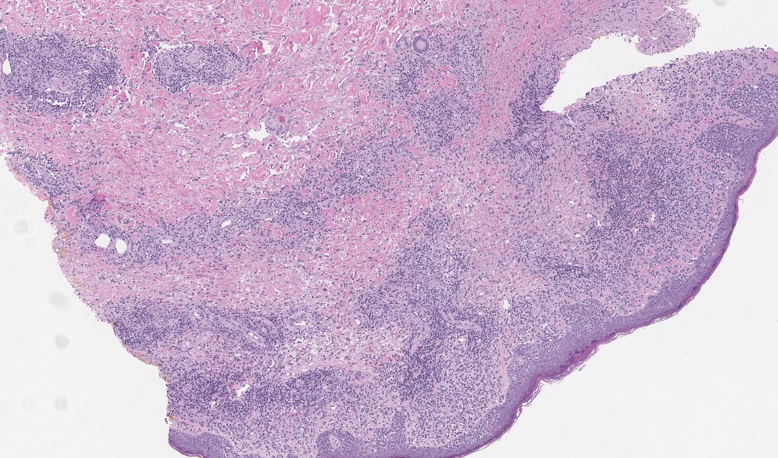
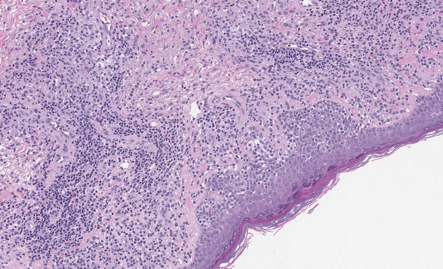
Unknown Case
Case: Skin
Specials to Order:
Final Diagnosis: