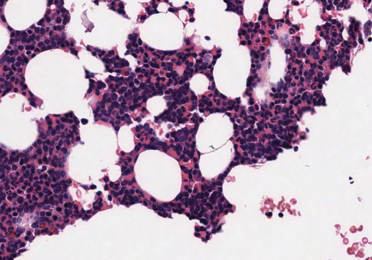
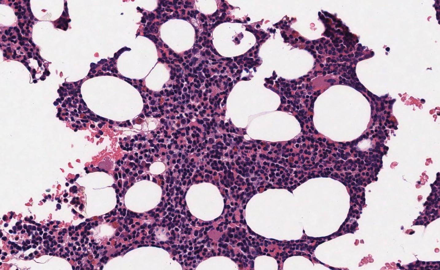
Unknown Case
Case: BoneMarrow
Specials to Order:
Final Diagnosis: