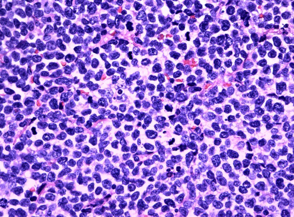
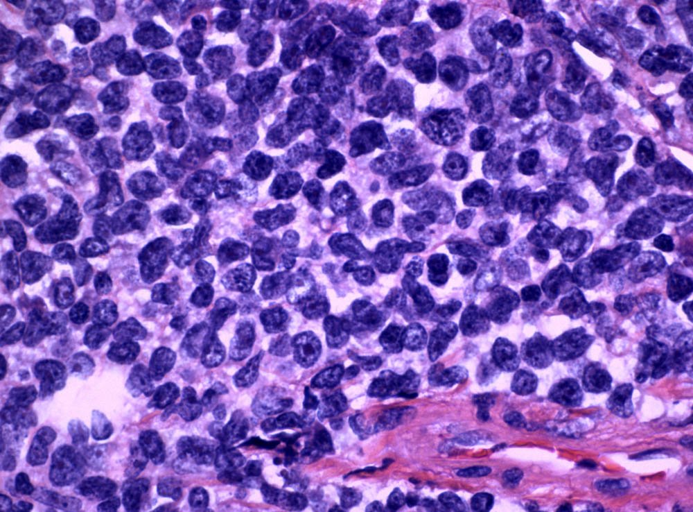
Unknown Case
Case: AxillaryMass
Specials to Order:
Final Diagnosis: