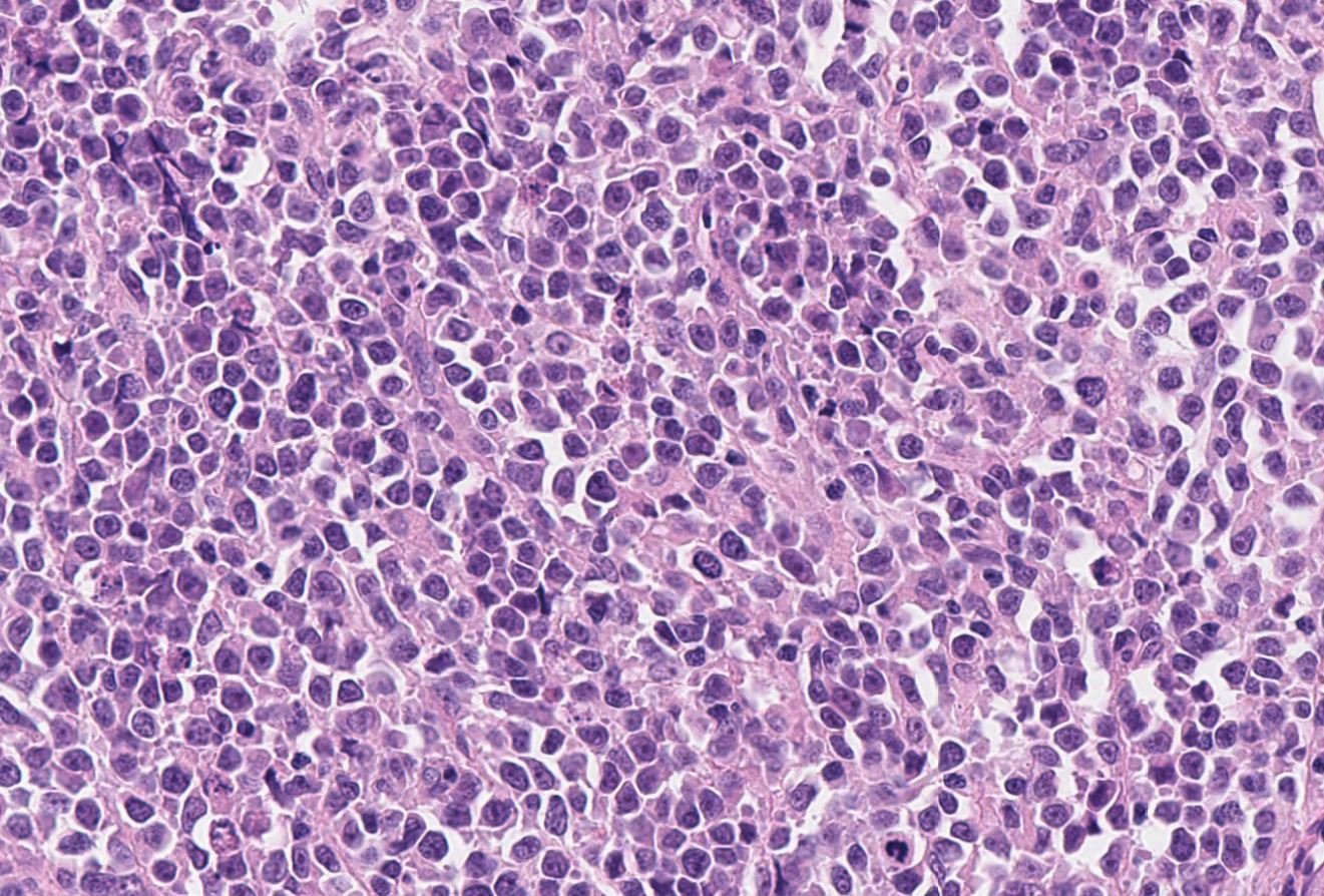
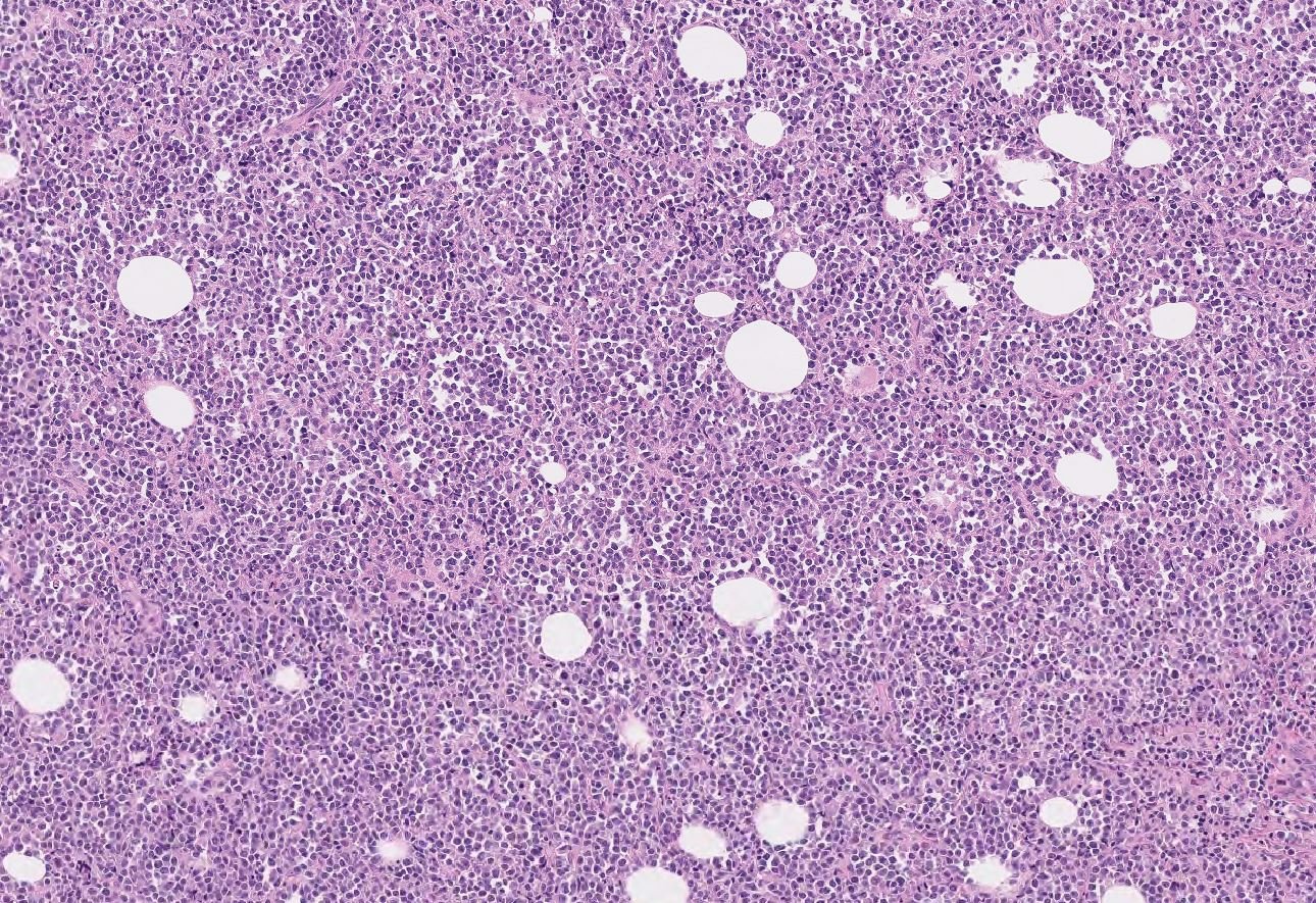
Unknown Case
Case: AbdominalWall
Specials to Order:
Final Diagnosis: